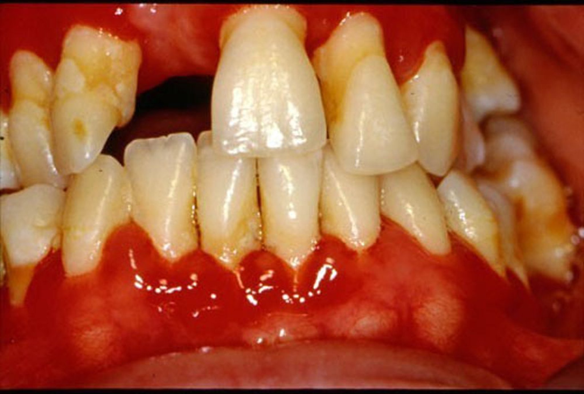
Хронический пародонтит
На этой фотографии показано хроническое, вызванное зубным камнем, воспаление мягких тканей, приводящее к потере тканей десны и опорной кости, расшатыванию и потере зубов.
Image provided by Jonathan A. Ship, DMD.
По этим темам
На этой фотографии показано хроническое, вызванное зубным камнем, воспаление мягких тканей, приводящее к потере тканей десны и опорной кости, расшатыванию и потере зубов.
Image provided by Jonathan A. Ship, DMD.