Хордома
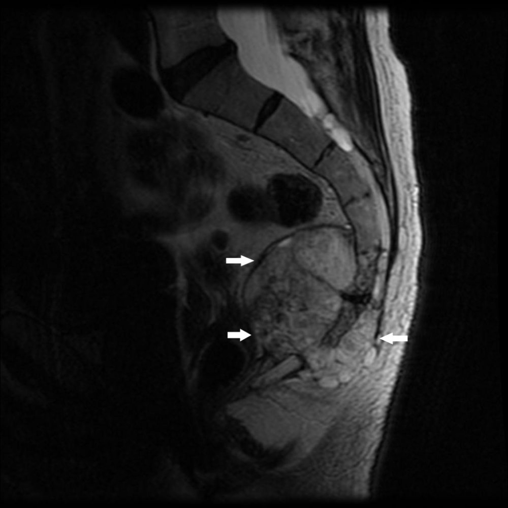
На данном снимке МРТ показана опухоль в каудальном отделе крестца (S4) и копчика с разрушением костной ткани и мягкотканным образованием (стрелки), типичными для хордомы.
Image courtesy of Michael J. Joyce, MD, and Hakan Ilaslan, MD.
По этим темам
