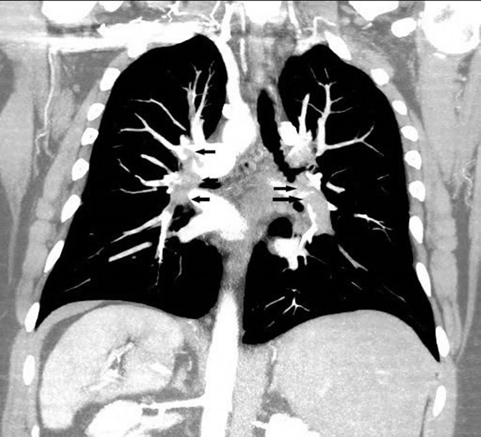
Фронтальная реконструкция, полученная при КТ-ангиопульмонографии
Фронтальная реконструкция, выполненная с помощью КТ-ангиопульмонографии, показывает обширную легочную эмболию в обеих легочных артериях (стрелки).
Image courtesy of Hakan Ilaslan, MD.
По этим темам
