Сибирская язва (легочная форма)
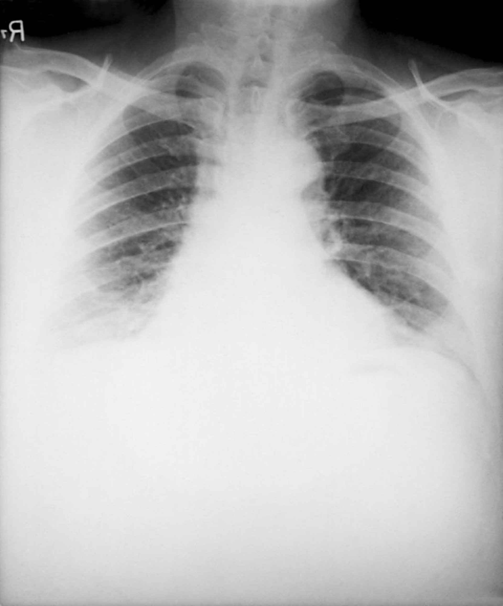
К типичным признакам ингаляционной формы сибирской язвы при рентгенографическом исследовании грудной клетки относятся расширение средостения, вызванное геморрагическим некротизирующим лимфаденитом, а также двусторонним плевральным выпотом. Инфильтрация легких не характерна.
Image courtesy of the Public Health Image Library of the Centers for Disease Control and Prevention.
По этим темам
