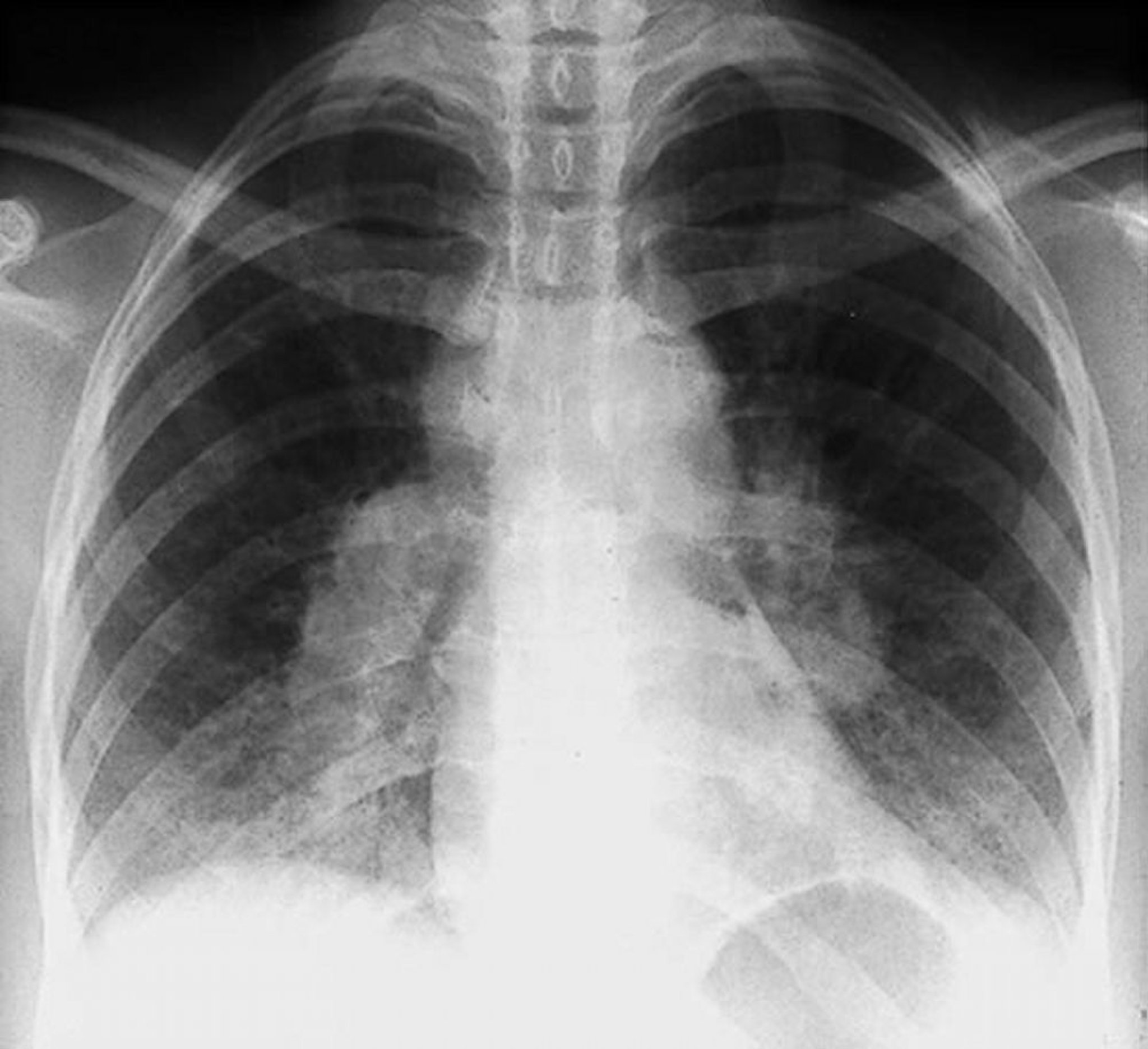
Саркоидоз — стадия I
Двухсторонний прикорневой лимфаденит при I стадии саркоидоза.
By permission of the publisher. Из Tanoue L, Elias J. In Bone's Atlas of Pulmonary and Critical Care Medicine. Edited by J Crapo. Philadelphia, Current Medicine, 2005.
По этим темам
