Саркоидоз (гранулема радужной оболочки)
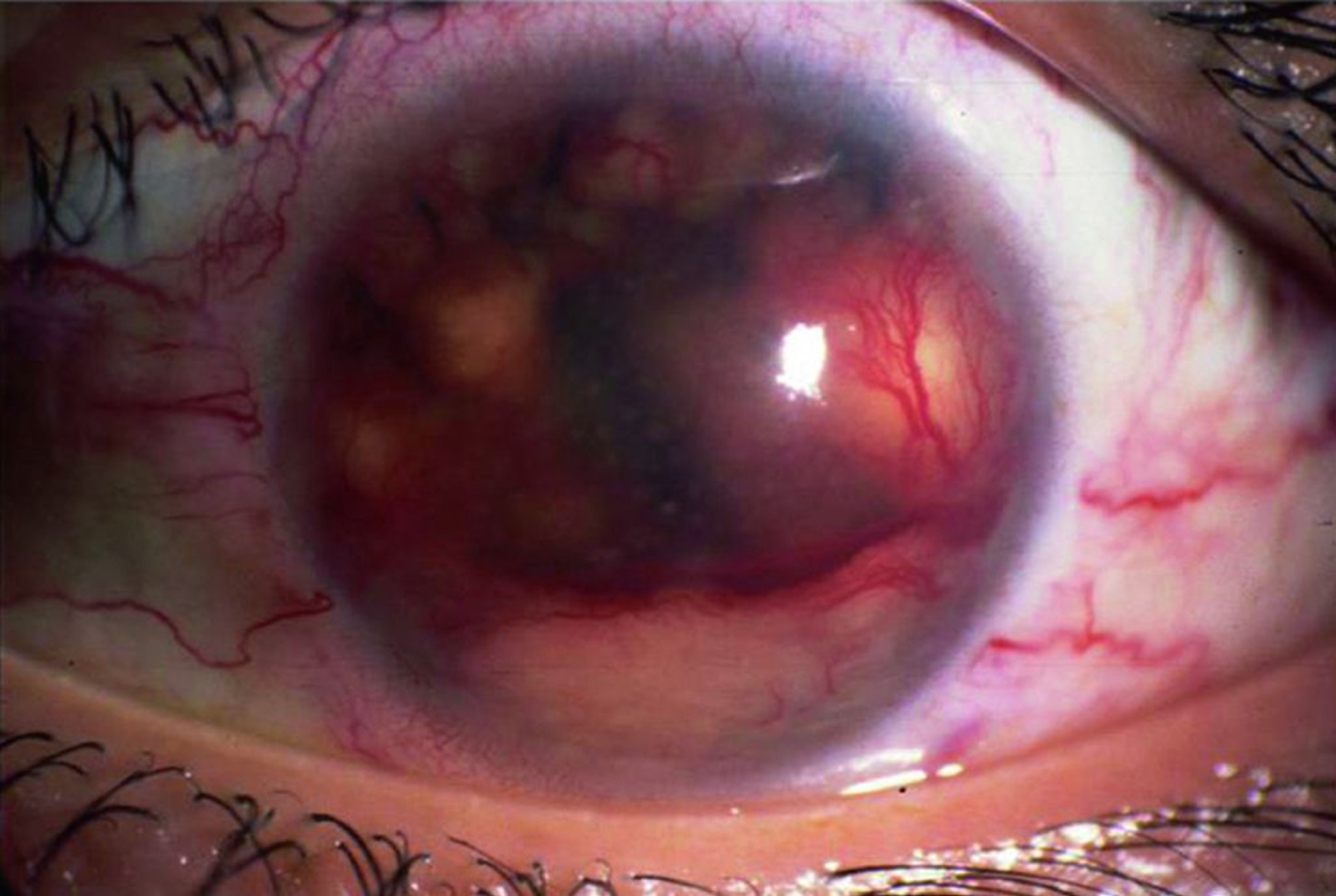
На этом фото представлены гранулемы радужной оболочки (видимые как белые пятна), которые также называют узелками папиллярного края или узелками Кеппе.
© Springer Science+Business Media
По этим темам
На этом фото представлены гранулемы радужной оболочки (видимые как белые пятна), которые также называют узелками папиллярного края или узелками Кеппе.
© Springer Science+Business Media