Рецидивирующая аспергиллома
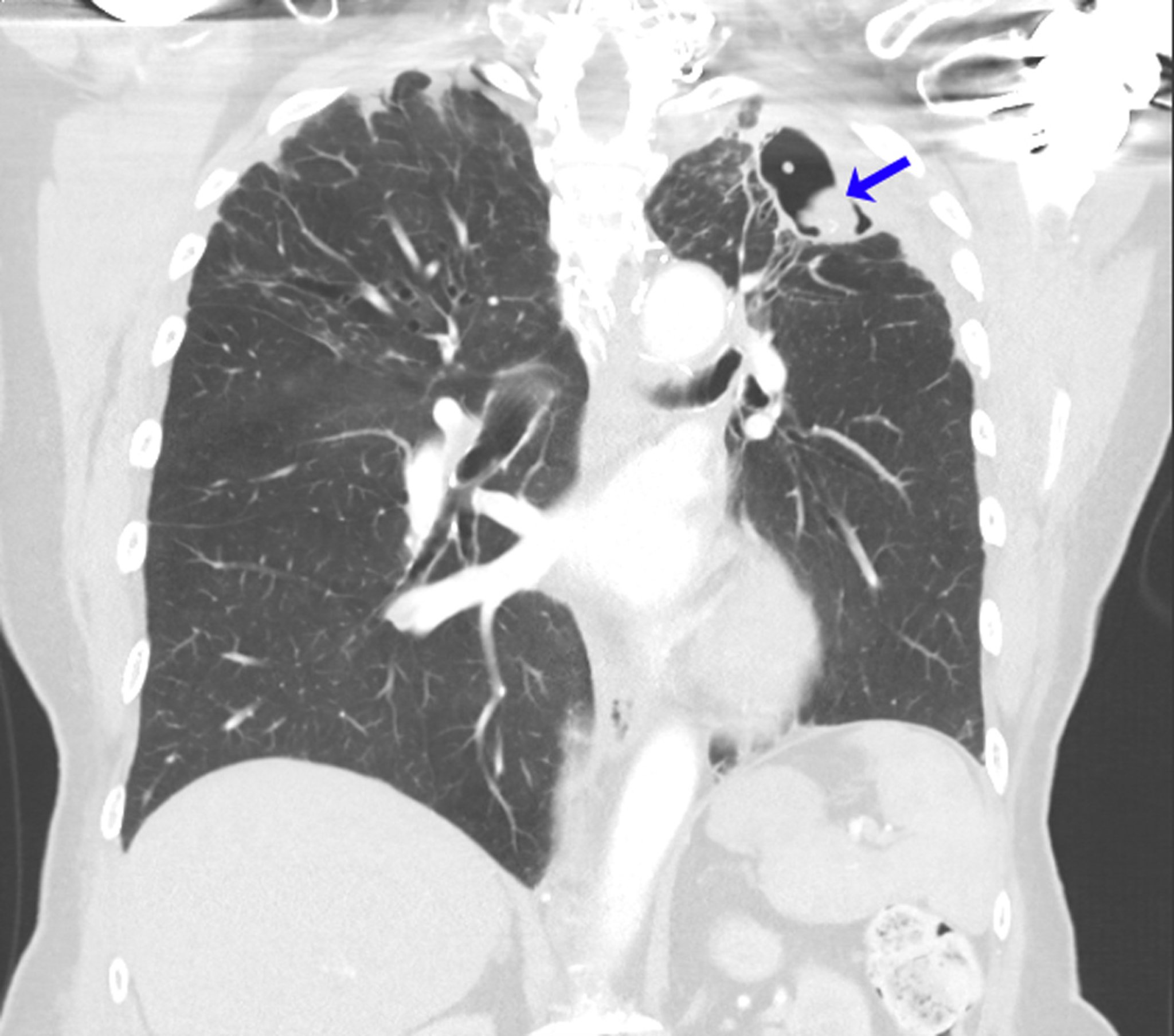
На данной компьютерной томограмме показаны легкие человека с аллергическим бронхолегочным аспергиллезом в анамнезе на фоне бронхиальной астмы. На верхушке левого легкого развился рецидив мицетомы (стрелка) после левосторонней лобэктомии по поводу аспергилломы.
Image courtesy of Paschalis Vergidis, MD, MSc.
По этим темам
