Рентген грудной клетки (искусственный клапан сердца)
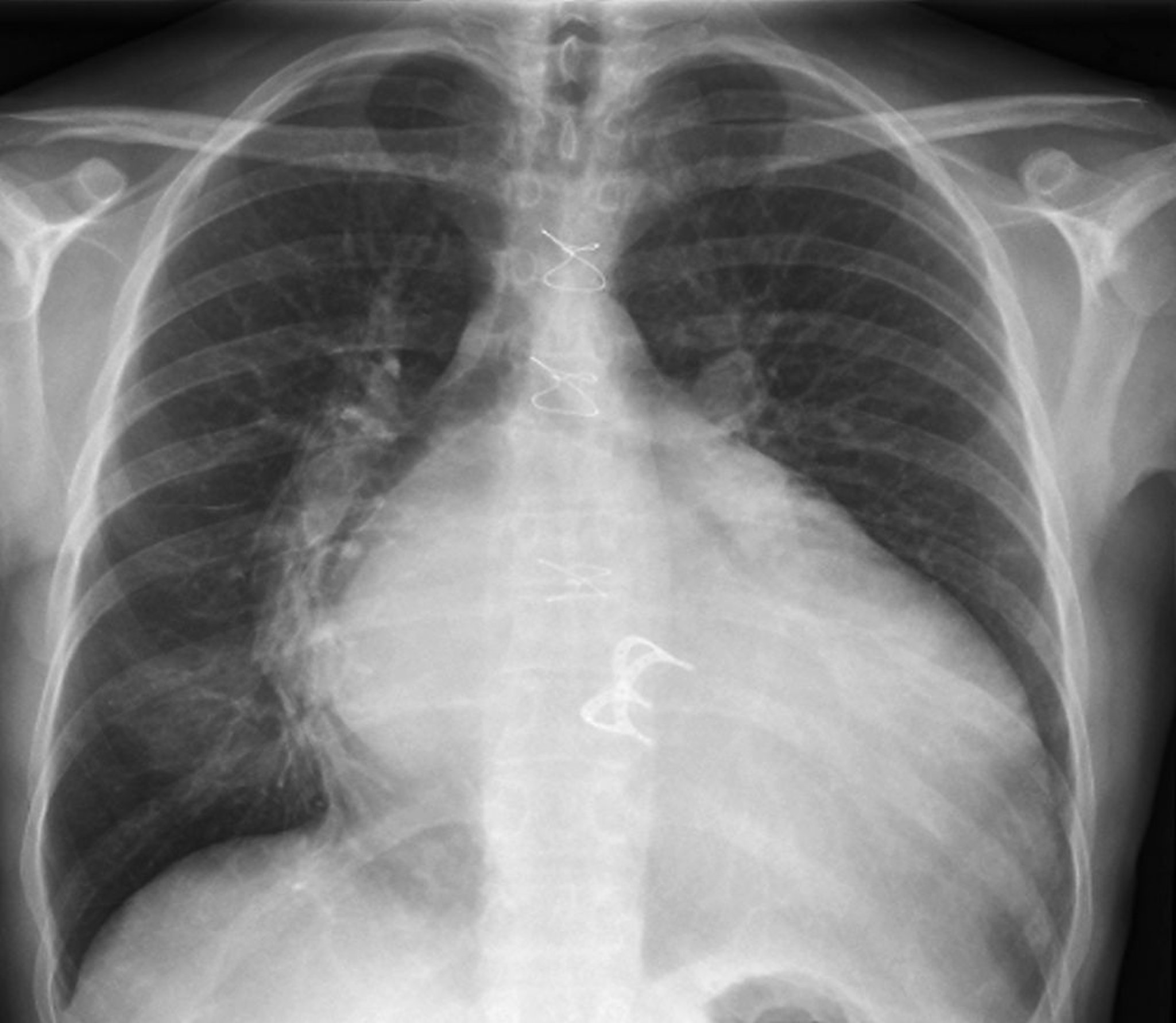
На данном рентгеновском снимке показан искусственный клапан сердца в виде небольшой белой дуги внизу центральной части снимка. Швы, используемые для закрытия грудной клетки, показаны уходящими вниз в центре снимка. Признаки увеличения левого предсердия включают видимую интенсивность тени левого предсердия в правой части грудной клетки (синяя стрелка, признак двойной плотности), увеличенное (> 7 см) расстояние между границей левого предсердия в правой половине грудной клетки и левого главного бронха, выпуклость по верхнему краю левого сердца, образованная увеличенным ушком левого предсердия (красная стрелка) и расширением киля трахеи с увеличением расстояния между левым и правым главными бронхами. Признаки увеличения левого желудочка включают расширение сердечного силуэта и смещение левого края сердца влево и вниз.
ZEPHYR/SCIENCE PHOTO LIBRARY
