Рентгенограмма грудной клетки пациента после операции по шунтированию коронарной артерии
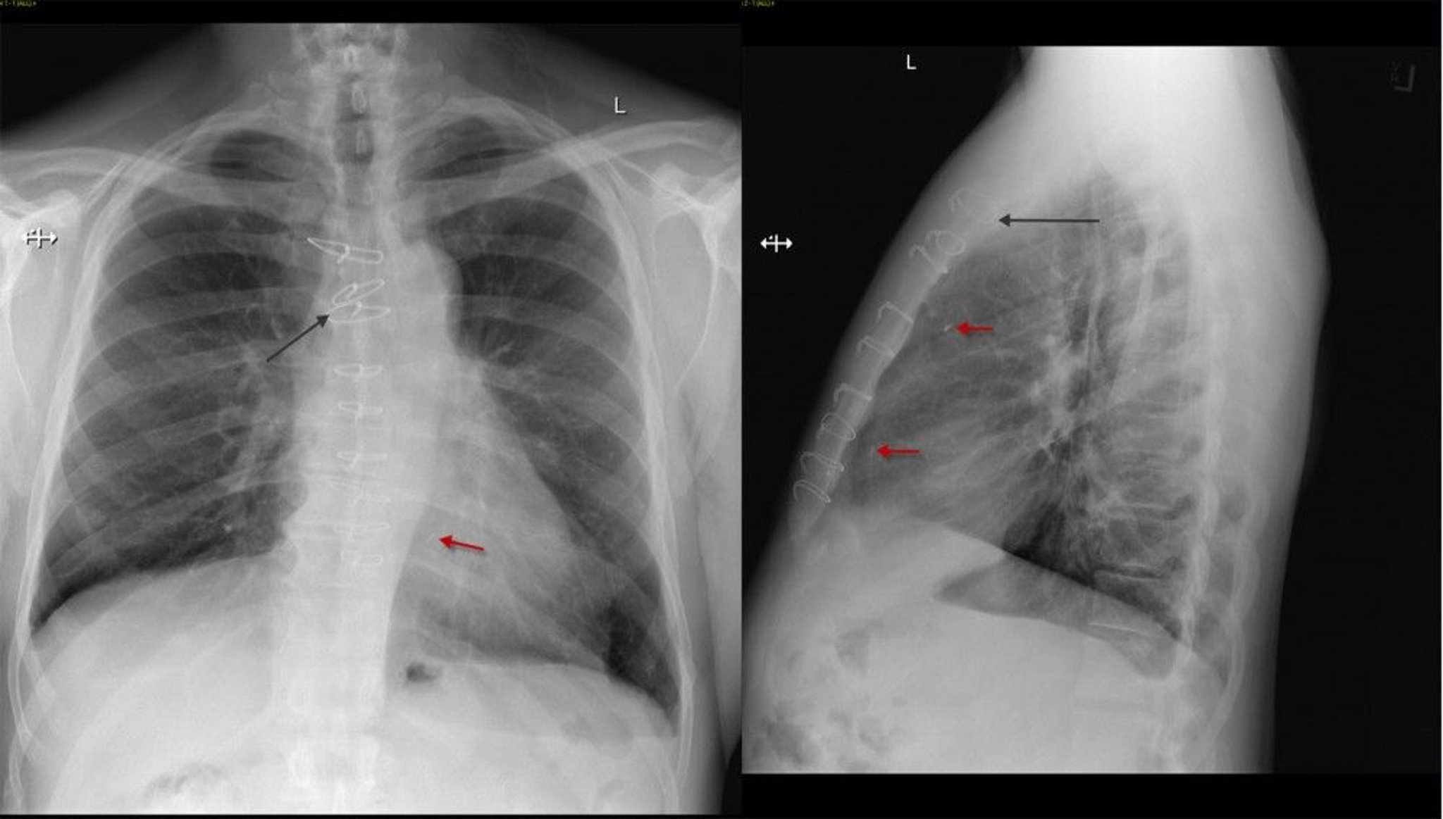
Фронтальная и латеральная проекции рентгенограммы грудной клетки пациента после операции аортокоронарного шунтирования, на которых видны грудинные швы (черная стрелка) и металлические скобы (красная стрелка).
© 2017 Elliot K. Fishman, MD.
По этим темам
