Пяточная шпора
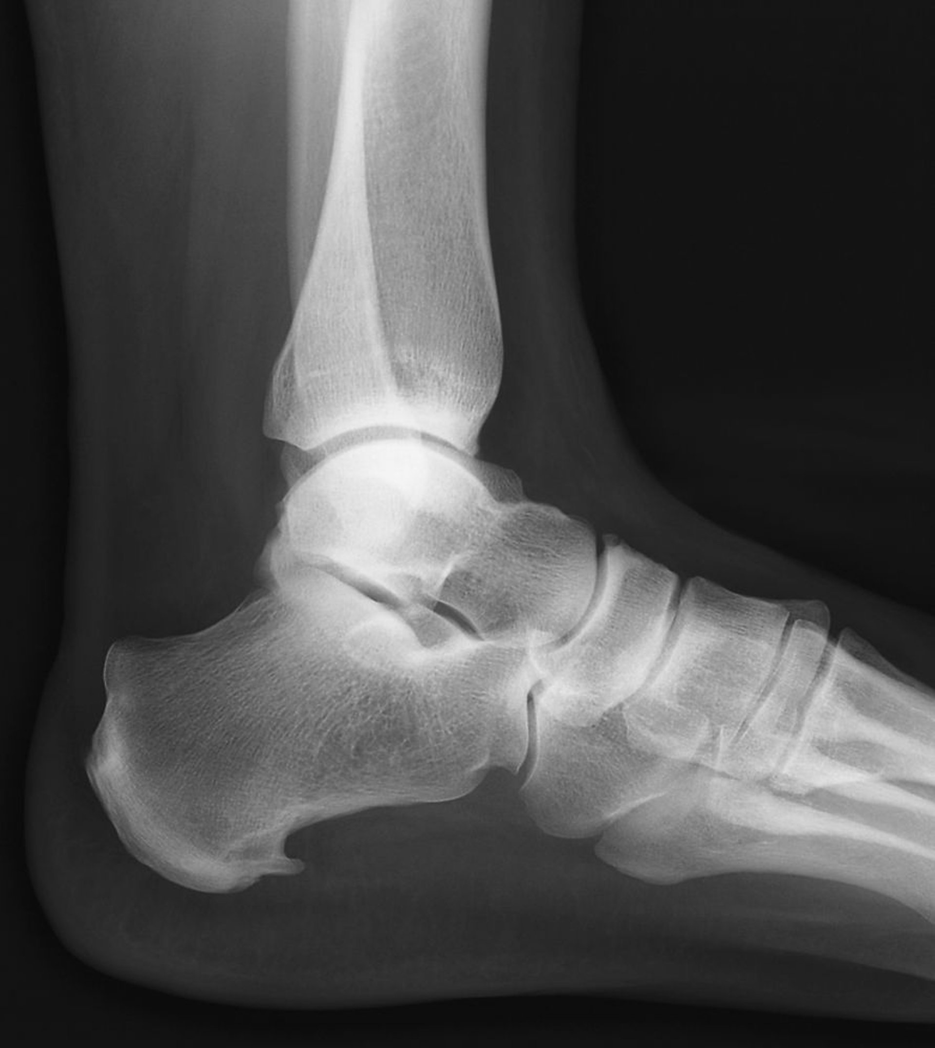
Пяточная шпора –это костный экзостоз, выпирающий вперед от основания пяточной кости.
ZEPHYR/SCIENCE PHOTO LIBRARY
По этим темам
Пяточная шпора –это костный экзостоз, выпирающий вперед от основания пяточной кости.
ZEPHYR/SCIENCE PHOTO LIBRARY