Проба Тцанка
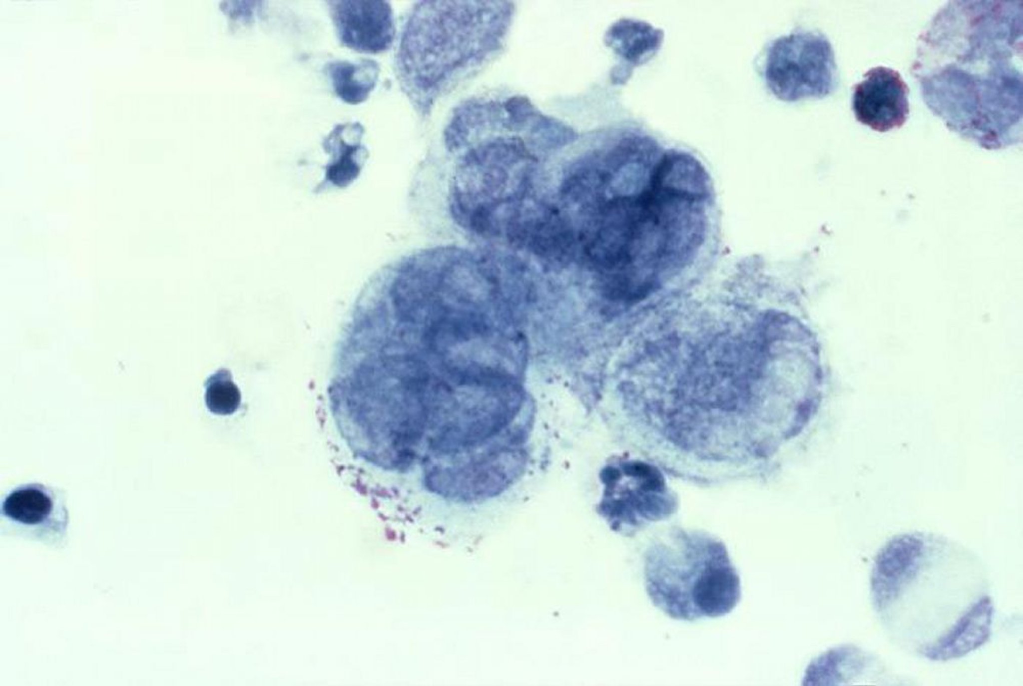
Во время пробы Тцанка скальпелем соскабливают основание и края везикул, затем окрашивают материал по Райту или по Гимзе. Гигантские многоядерные клетки являются признаком инфекции простого герпеса или опоясывающего герпеса.
Photo courtesy of Joe Miller via the Public Health Image Library of the Centers for Disease Control and Prevention.
По этим темам
