Перилунарный вывих кисти
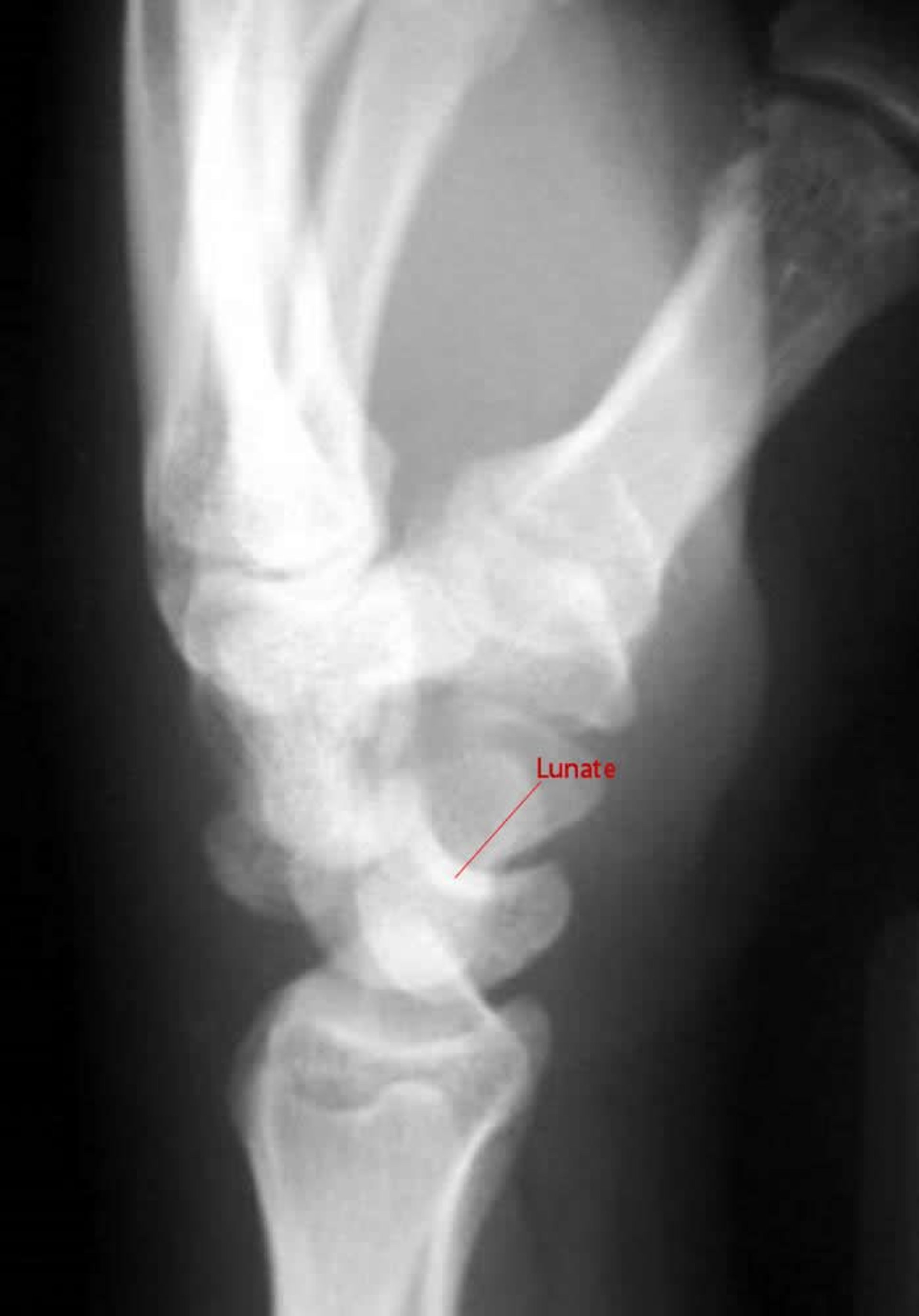
На боковой части снимка рентгенограммы при перилунарном вывихе кисти головчатая кость не формирует сустав с полулунной костью.
Image courtesy of Danielle Campagne, MD.
По этим темам
На боковой части снимка рентгенограммы при перилунарном вывихе кисти головчатая кость не формирует сустав с полулунной костью.
Image courtesy of Danielle Campagne, MD.