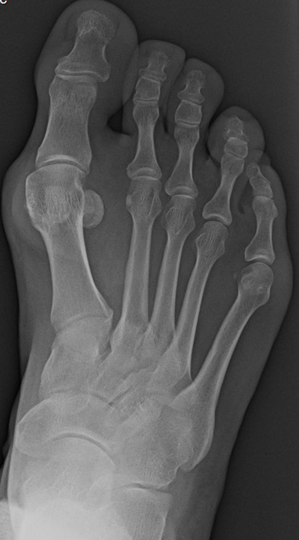
Переднезадняя рентгенограмма стопы с бурситом
На этой переднезадней проекции стопы показаны рентгенографические данные, соответствующие вальгусной деформации, с медиальным отклонением первой плюсневой кости. Наблюдается также латеральный подвывих основания первой проксимальной фаланги по отношению к головке первой плюсневой кости.
Image courtesy of James C. Connors, DPM.
По этим темам
