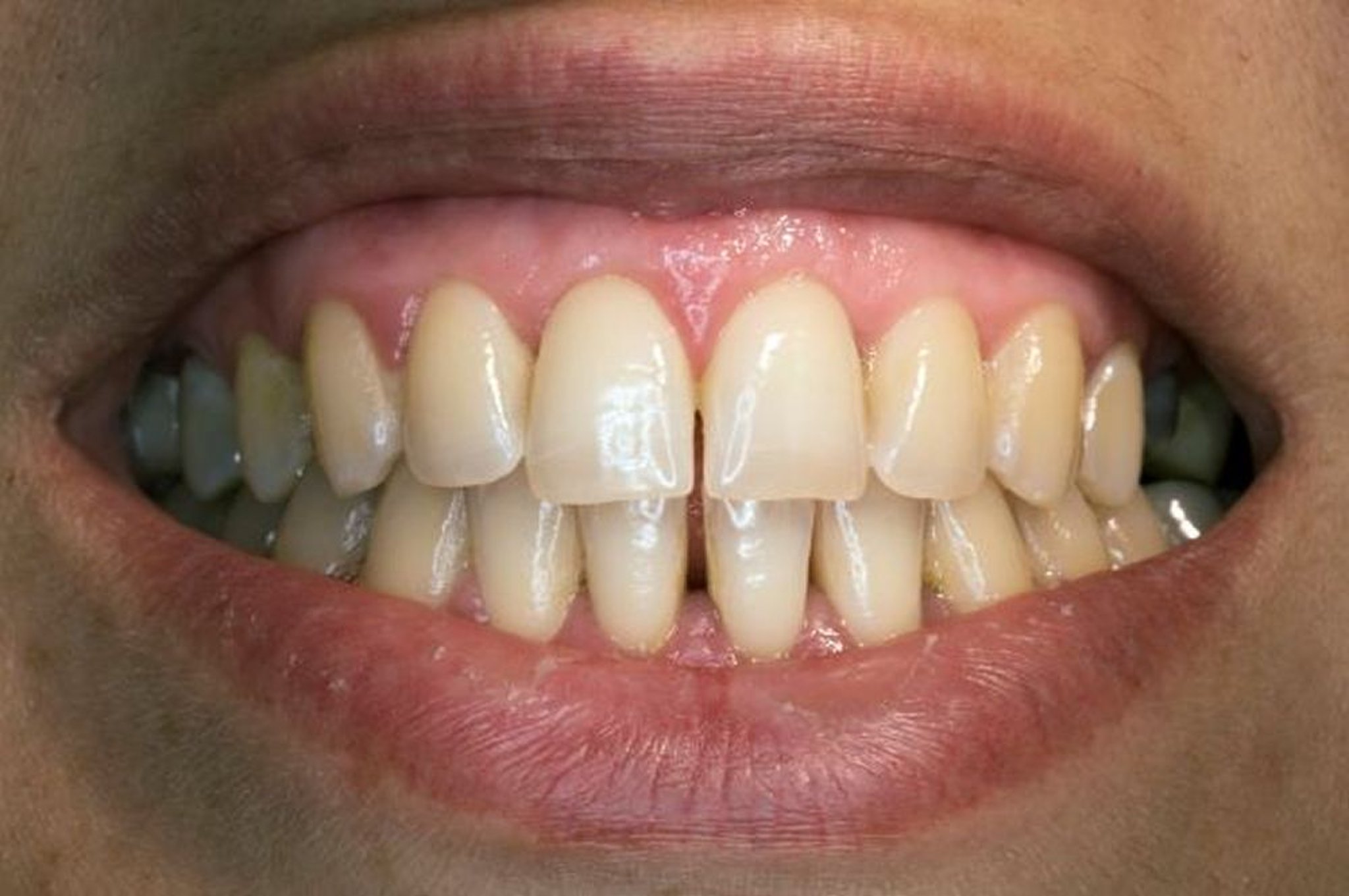
Относительно здоровые десны и зубы
Относительно здоровый рот, изображенный здесь, показывает некоторое пятно и зубной камень, однако десны здоровы: упругие, плотно прилегающие к зубам и образуют тонкие межзубные сосочки.
DR ARMEN TARANYAN/SCIENCE PHOTO LIBRARY
По этим темам
