Острый респираторный дистресс-синдром
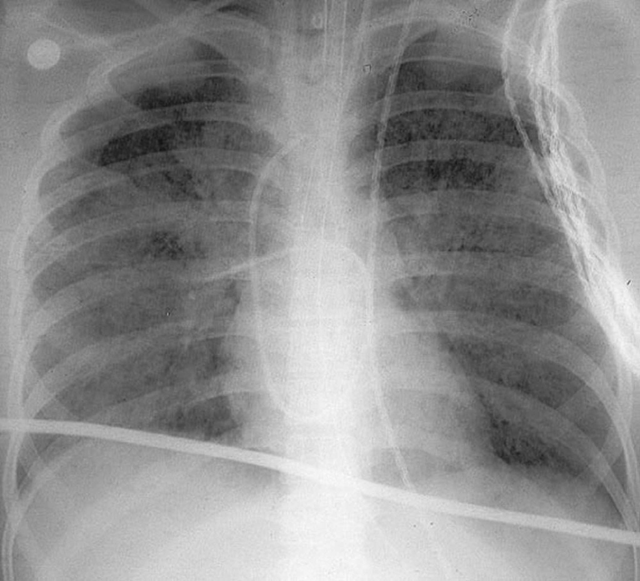
На рентгенограмме органов грудной клетки в вертикальном положении показаны диффузные двухсторонние области помутнения в легких, характерные для острого респираторного дистресс-синдрома (ОРДС).
By permission of the publisher. От Herdegen J, Bone R. In Atlas of Infectious Diseases: Pleuropulmonary and Bronchial Infections. Edited by G Mandell (series editor) and MS Simberkoff. Philadelphia, Current Medicine, 1996.
