Острые некротические скопления
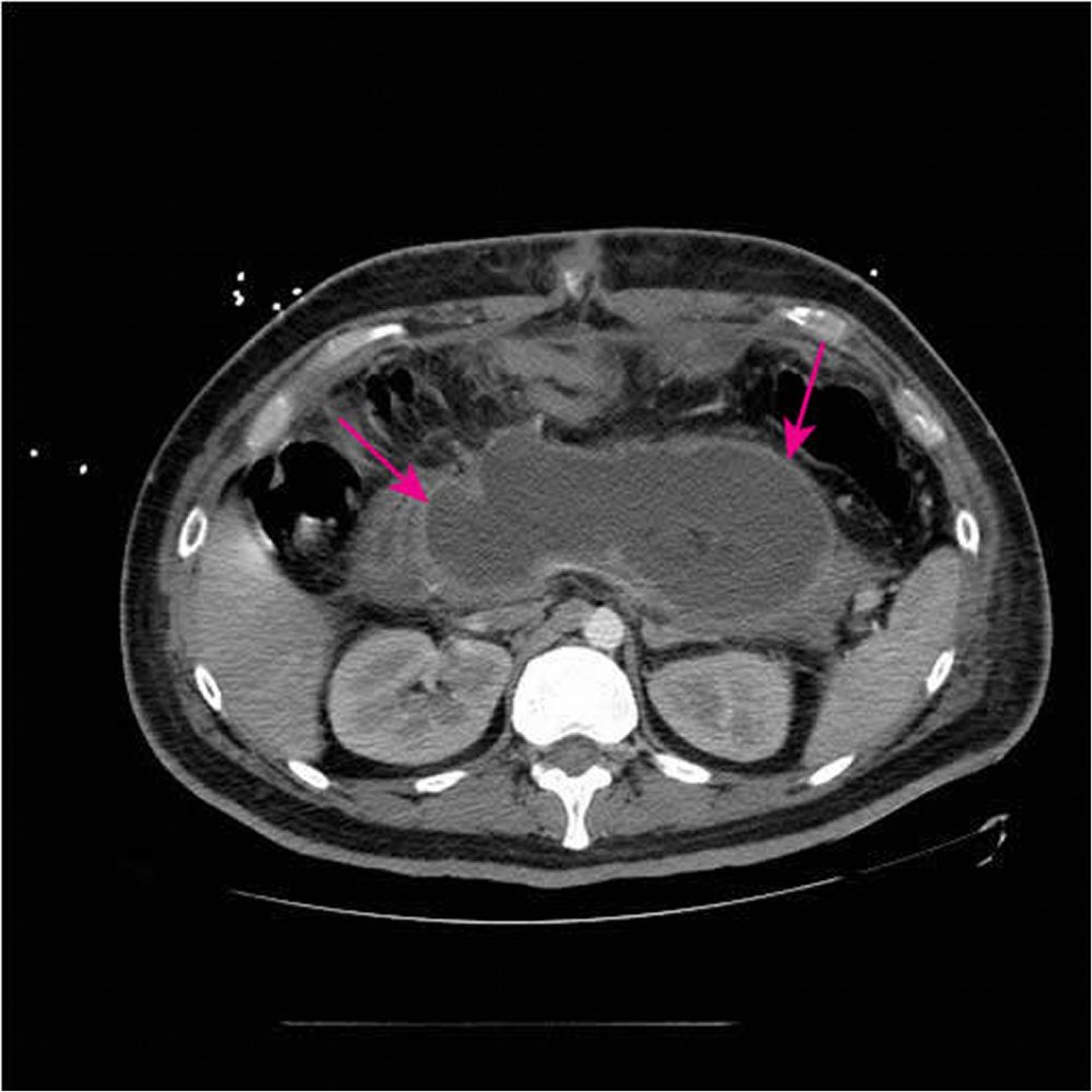
Эта КТ с внутривенным и оральным введением контрастного вещества показывает крупное острое некротическое скопление (стрелки), замещающее большую часть ткани поджелудочной железы в период времени < 4-х недель от первоначального обнаружения некротизирующего панкреатита.
Image courtesy of Sonam Rosberger, MD.
По этим темам
