Остеохондрома колена
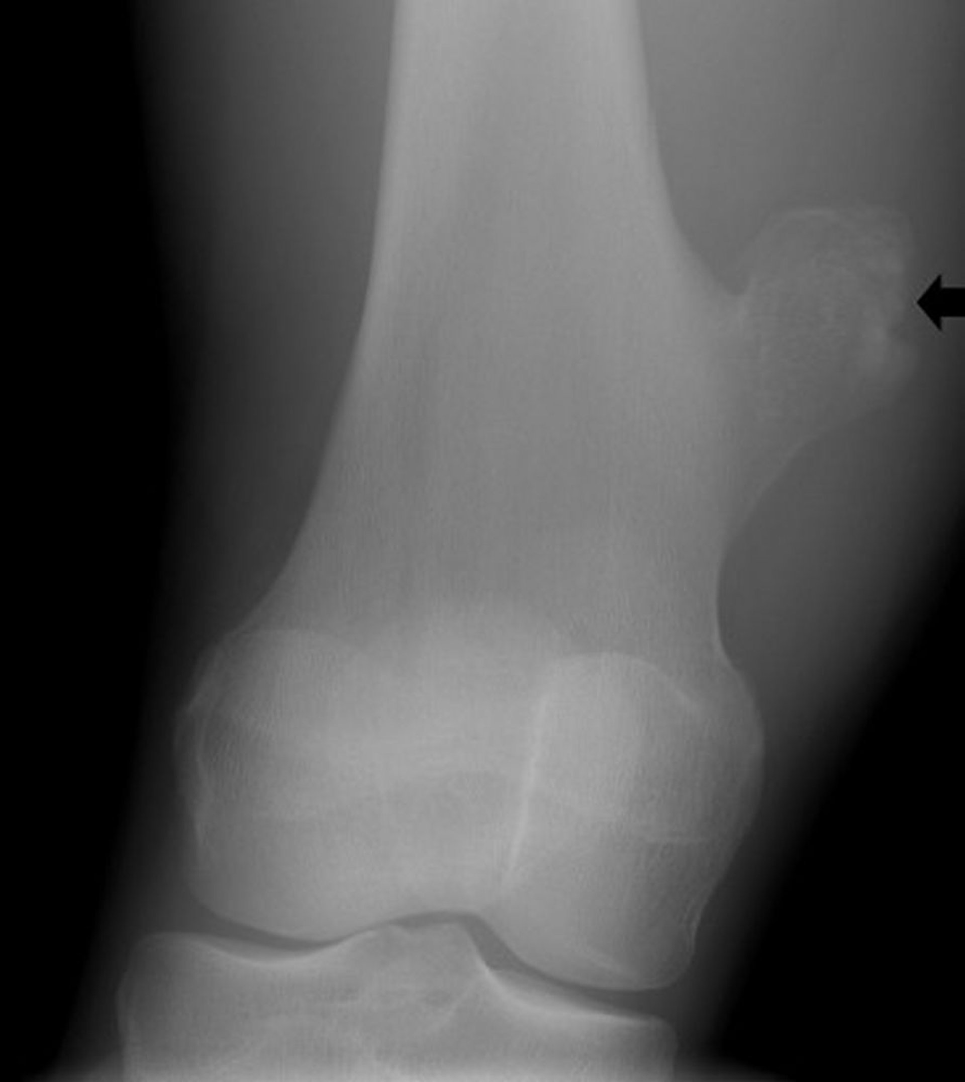
На данном рентгеновском снимке колена показан костный нарост (стрелка) из бедренной кости выше коленного сустава, что указывает на остеохондрому.
Image courtesy of Michael J. Joyce, MD, and Hakan Ilaslan, MD.
По этим темам
На данном рентгеновском снимке колена показан костный нарост (стрелка) из бедренной кости выше коленного сустава, что указывает на остеохондрому.
Image courtesy of Michael J. Joyce, MD, and Hakan Ilaslan, MD.