Наследственный дефицит G6PD
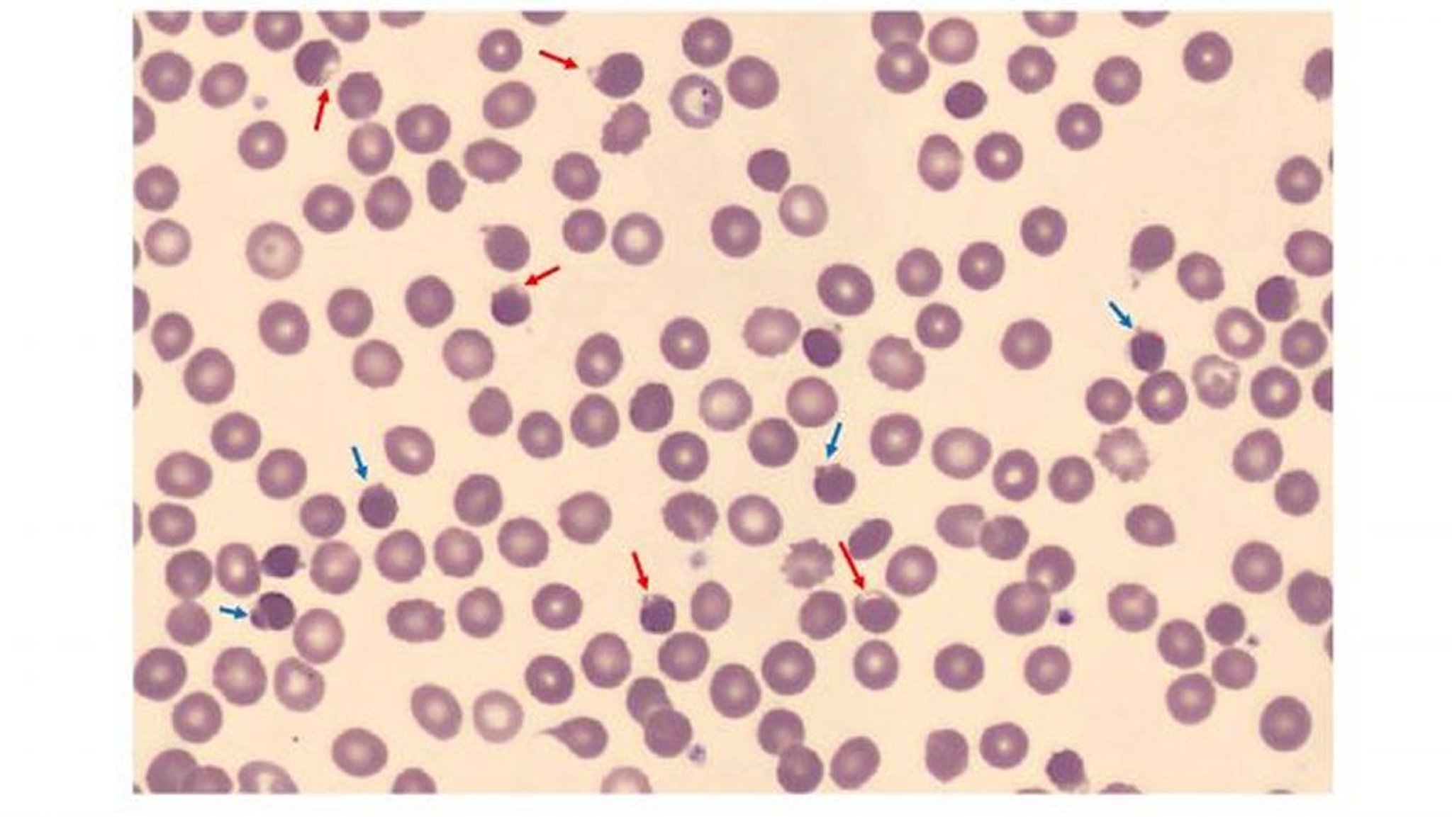
Образец мазка крови взят у 37-летнего мужчины с наследственным дефицитом Г6ФДГ. На нем показаны многочисленные пузырьки (красные стрелки) из-за осаждения поврежденного гемоглобина внутри клеток. Также показаны сфероциты (синие стрелки) с поврежденной из-за связывания с оксигемоглобином мембраной.
Image courtesy of Jerry L. доктором Спиваком (Spivak, MD).
По этим темам
