Миксома предсердия (МРТ сердца)
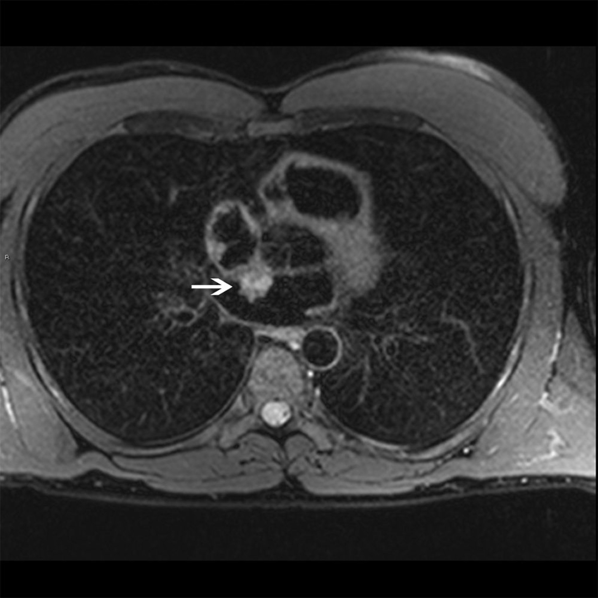
На данной МРТ сердца показана миксома левого предсердия (стрелка), которая является гиперинтенсивной на Т2-взвешенном изображении, что является характерным для миксом.
© 2017 Elliot K. Fishman, MD.
По этим темам
На данной МРТ сердца показана миксома левого предсердия (стрелка), которая является гиперинтенсивной на Т2-взвешенном изображении, что является характерным для миксом.
© 2017 Elliot K. Fishman, MD.