Менингиома (парасагиттальная)
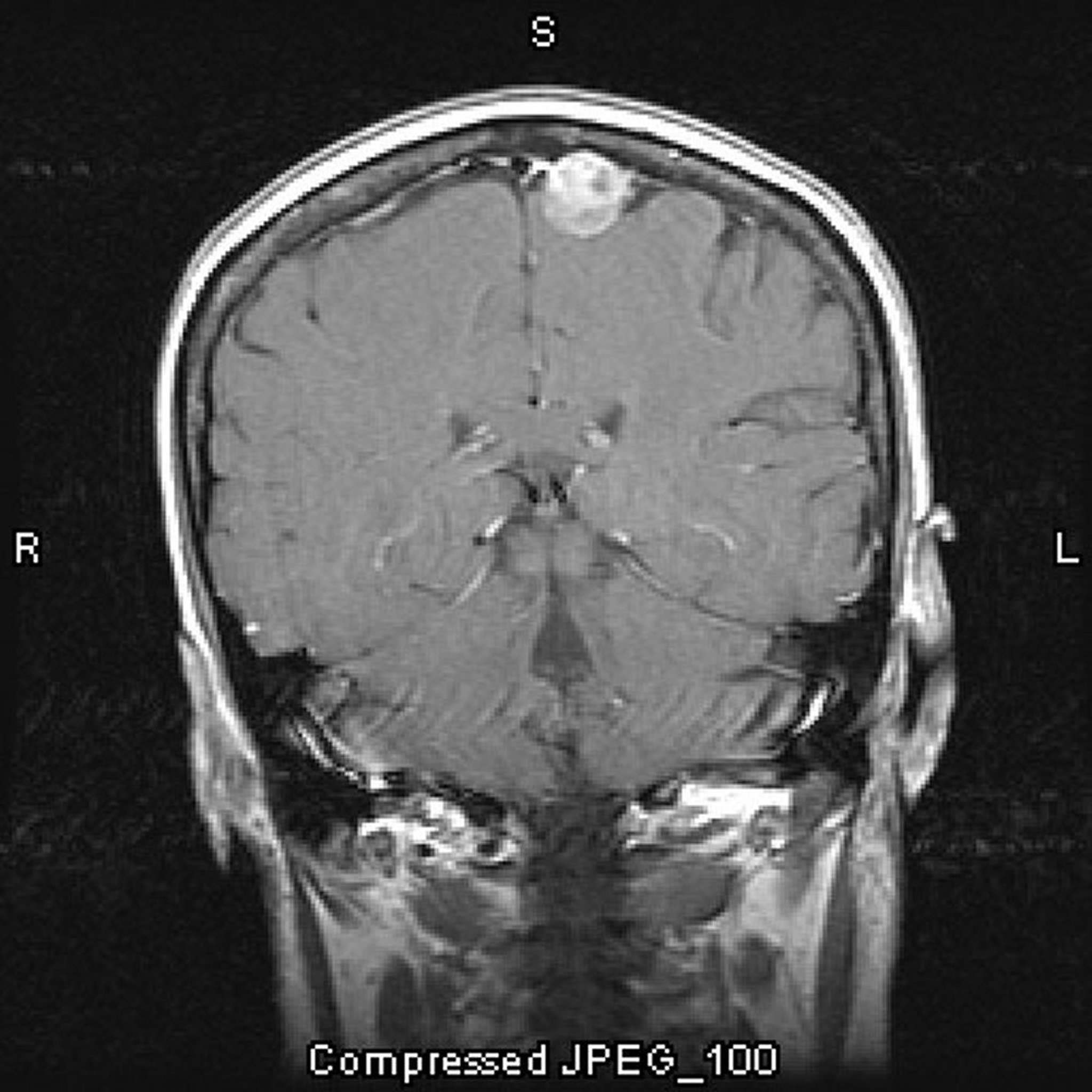
На этом снимке МРТ с контрастированием показана менингиома. Парасагиттальное расположение является типичным для менингиом.
Image courtesy of William R. Shapiro, MD.
По этим темам
На этом снимке МРТ с контрастированием показана менингиома. Парасагиттальное расположение является типичным для менингиом.
Image courtesy of William R. Shapiro, MD.