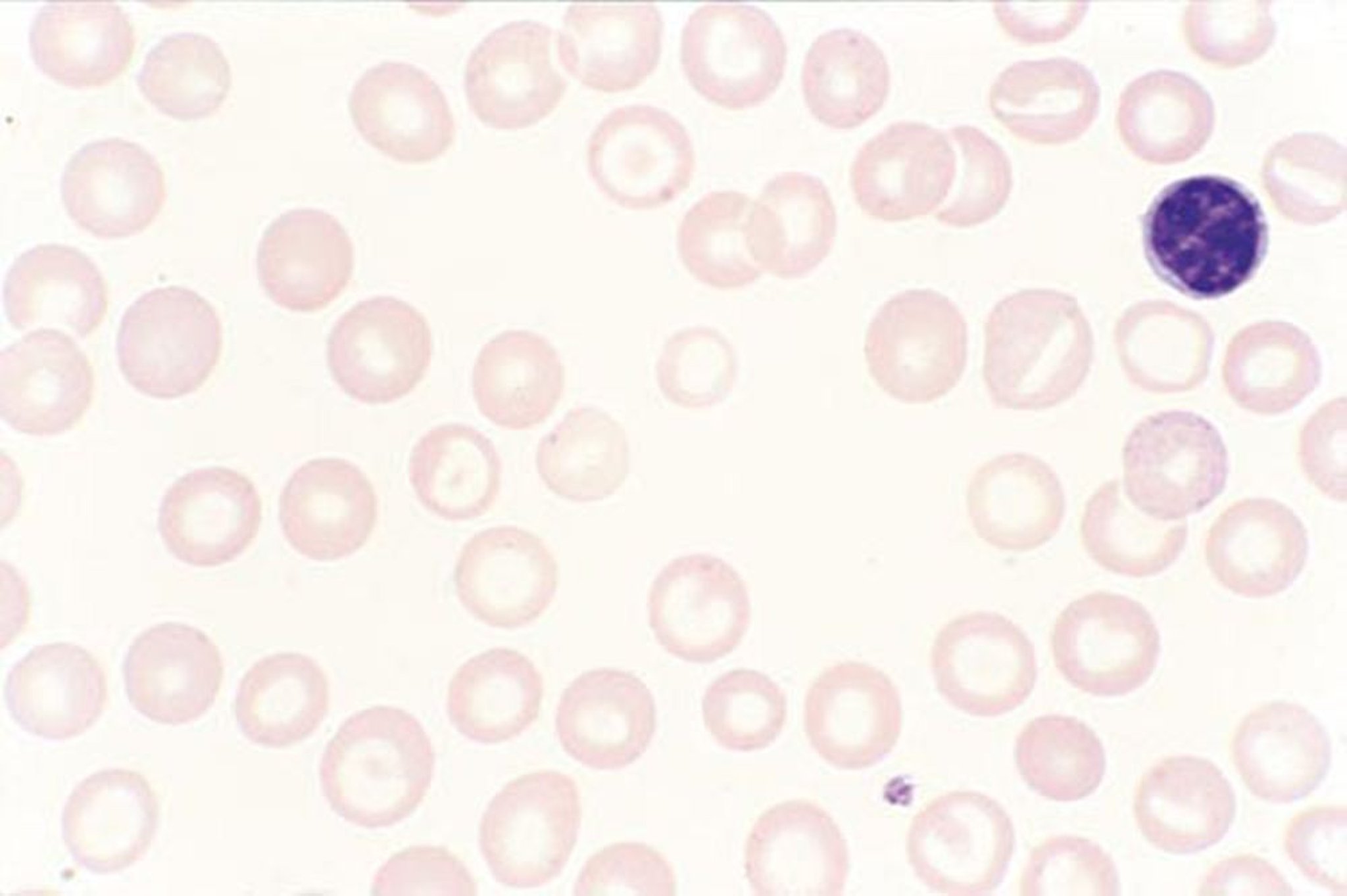
Макроцитоз при заболеваниях печени
На этом рисунке показана неалиментарная макроцитарная анемия, не связанную с применением лекарственных средств. Округлая морфология эритроцитов, в отличие от овальных макроцитов, позволяет предположить заболевание печени с избыточной площадью мембраны эритроцитов; также в мазке присутствуют мишеневидные клетки.
By permission of the publisher. From Tefferi A, Li C. In Atlas of Clinical Hematology. Edited by JO Armitage. Philadelphia, Current Medicine, 2004.
По этим темам
