Лимфома кости

Лимфома кости

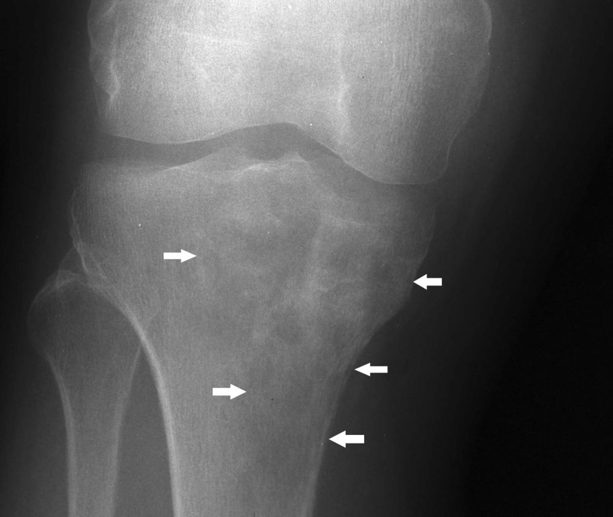
На данном рентгеновском снимке колена показана лимфома в проксимальной части большеберцовой кости со смешанным литическим и склеротическим проявлением ниже медиального мыщелка большеберцовой кости (стрелки).

Image courtesy of Michael J. Joyce, MD, and Hakan Ilaslan, MD.