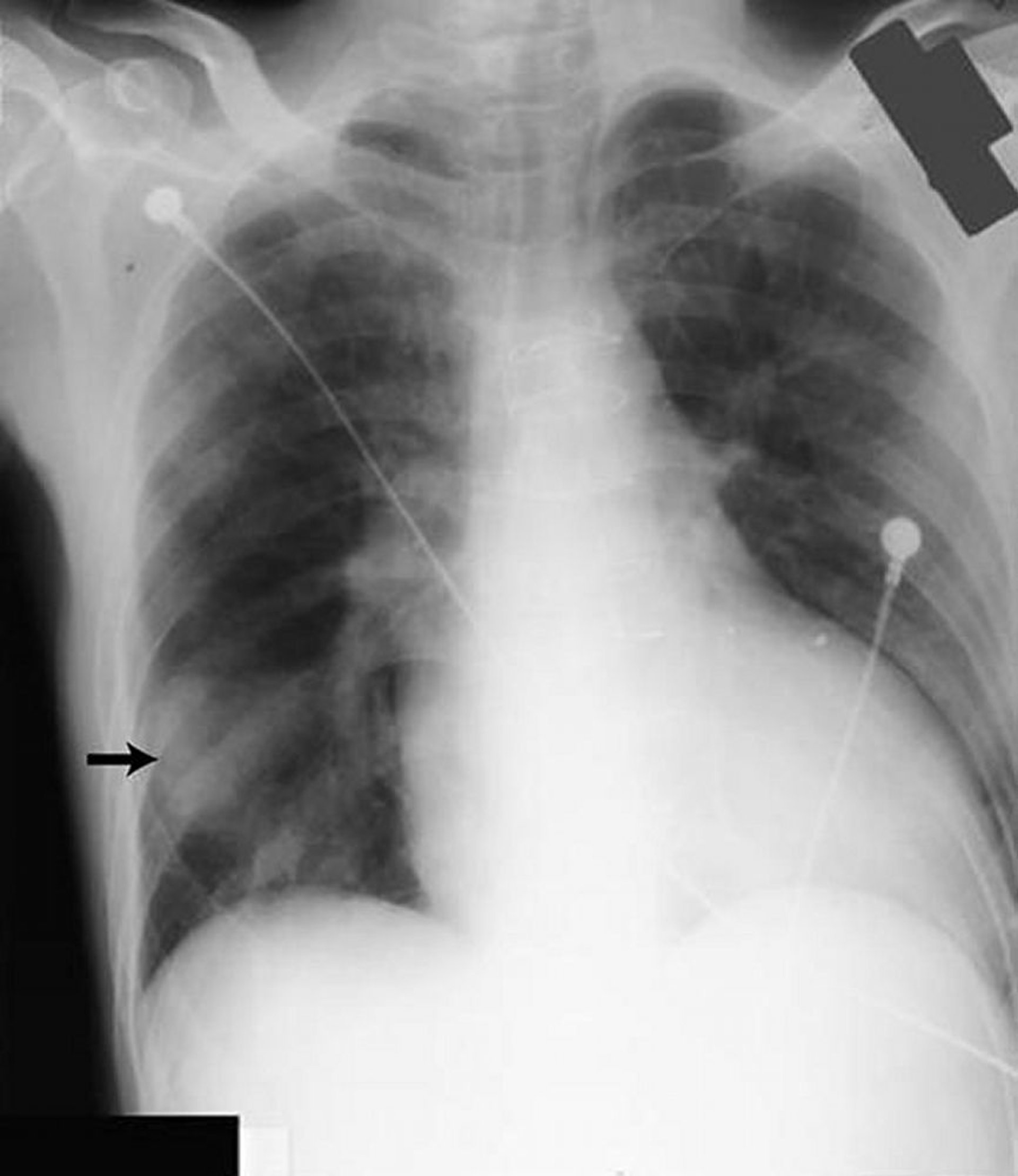
Легочные псевдоопухоли
Затемнение в нижней части правого легкого (стрелка) напоминает плотную опухоль, но образовано жидкостью, скопившейся в косой щели у пациента с сердечной недостаточностью.
By permission of the publisher. From Huggins J, Sahn S. In Bone's Atlas of Pulmonary and Critical Care Medicine. Edited by J Crapo. Philadelphia, Current Medicine, 2005.
По этим темам
