Крупная афтозная язва
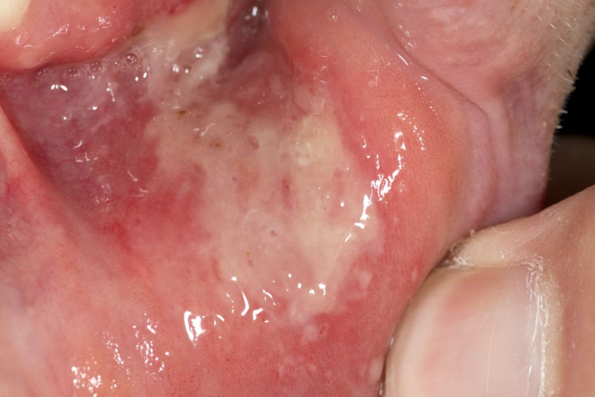
На этой фотографии изображена крупная афтозная язва (белесоватый участок) с внутренней стороны губы.
DR P. MARAZZI/SCIENCE PHOTO LIBRARY
По этим темам
На этой фотографии изображена крупная афтозная язва (белесоватый участок) с внутренней стороны губы.
DR P. MARAZZI/SCIENCE PHOTO LIBRARY