Инородные тела желудка (КТ)
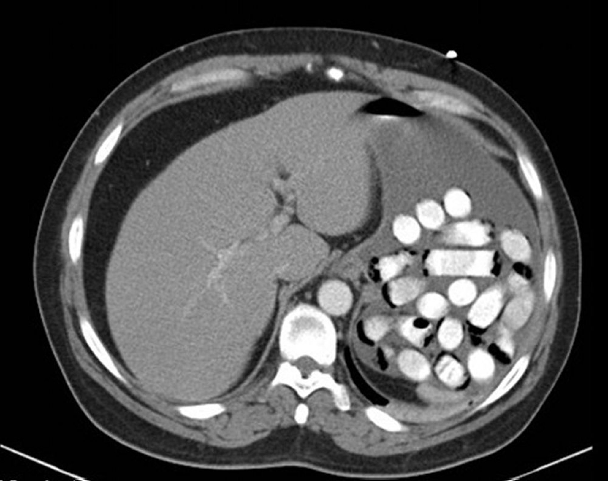
Это изображение показывает пакетики с наркотическими веществами в желудке.
Изображение предоставлено врачом-остеопатом Alan Gingold.
По этим темам
Это изображение показывает пакетики с наркотическими веществами в желудке.
Изображение предоставлено врачом-остеопатом Alan Gingold.