Инородное тело в желудочно-кишечном тракте (рентгеновский снимок)
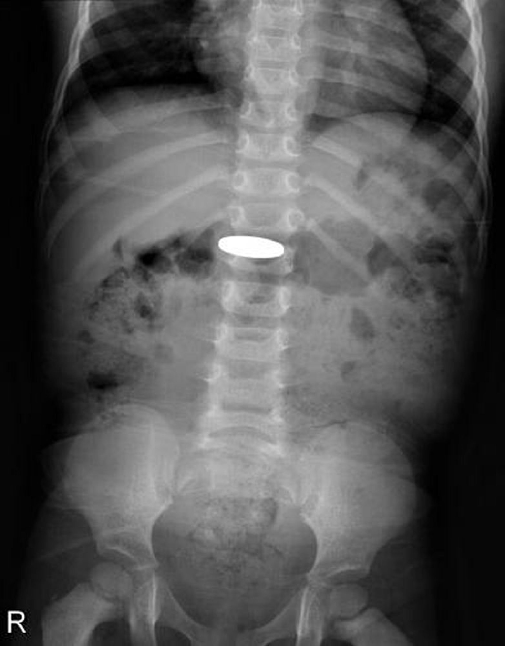
На рентгенограмме показана монета, которая была проглочена маленьким ребенком.
DU CANE MEDICAL IMAGING LTD/SCIENCE PHOTO LIBRARY
На рентгенограмме показана монета, которая была проглочена маленьким ребенком.
DU CANE MEDICAL IMAGING LTD/SCIENCE PHOTO LIBRARY