Дивертикулез (КТ-сканирование)
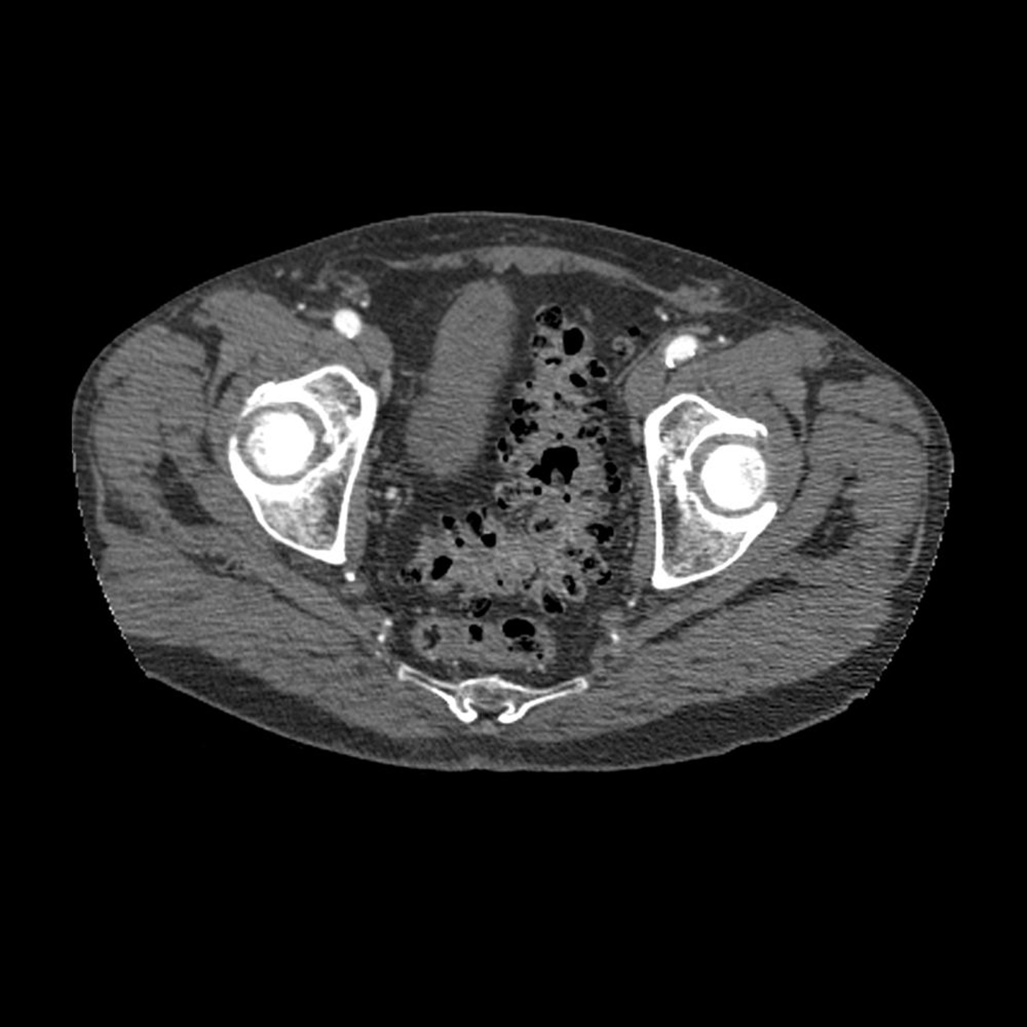
На этом осевом КТ-изображении таза в поперечном сечении показано типичное проявление дивертикулеза (темные участки стенки сигмовидной кишки).
LIVING ART ENTERPRISES, LLC/SCIENCE PHOTO LIBRARY
По этим темам
На этом осевом КТ-изображении таза в поперечном сечении показано типичное проявление дивертикулеза (темные участки стенки сигмовидной кишки).
LIVING ART ENTERPRISES, LLC/SCIENCE PHOTO LIBRARY