Пульмональный гистиоцитоз Лангерганса (ПГЛ) представляет собой пролиферацию моноклональных клеток Ларгенганса в интерстиции и воздушных пространствах легкого. Этиология заболевания неизвестна, курение имеет первостепенное значение. Проявлениями являются одышка, кашель, усталость и плевритическая боль. Диагноз основывается на данных анамнеза и лучевых исследований, в некоторых случаях выполняется бронхоальвеолярный лаваж и биопсия. Лечение предполагает прекращение курения. Во многих случаях назначают глюкокортикоиды, но их эффективность неизвестна. Трансплантация легкого, как правило, эффективна, если сочетается с отказом от курения. Пятилетняя выживаемость составляет около 74%. Пациенты имеют повышенный риск развития рака.
(См. также Обзор интерстициальных заболеваний легких [Overview of Interstitial Lung Disease] и Лангергансоклеточный гистиоцитоз [Langerhans Cell Histiocytosis]).
Пульмональный гистиоцитоз Лангерганса (ПГЛ) — это заболевание, при котором соматически мутировавшие моноклональные CD1a‑положительные клетки, подобные клеткам Лангерганса (тип гистиоцитов или антигенпрезентирующих клеток лёгких), инфильтрируют бронхиолы и альвеолярный интерстиций вместе с лимфоцитами, плазматическими клетками, нейтрофилами и эозинофилами. Обычно он поражает средние и верхние доли легкого. ПГЛ – одно из проявлений гистиоцитоза из клеток Лангерганса, который может поражать многие органы (наиболее часто – легкие, кожу, кости, гипофиз и лимфатические узлы) изолированно или одновременно. ПГЛ встречается изолированно более чем ≥ в 85% случаев.
Этиология ПГЛ неизвестна, но заболевание встречается почти исключительно у курящих представителей европеоидной расы в возрасте 20–40 лет (1). В других популяциях ПГЛ встречается крайне редко; согласно одному популяционному исследованию, его распространенность оценивается в пределах от 0,1 до 0,3 случая на 100 000 человек в год (2). Мужчины и женщины заболевают в равной степени. У женщин заболевание развивается позже, но различия по полу для параметру возраста возникновения может отображать различияв курительном поведении. Патофизиологические механизмы включают увеличение и пролиферацию клеток Лангерганса под действием цитокинов и факторов роста, выделяемых альвеолярными макрофагами в ответ на сигаретный дым.
Общие справочные материалы
1. Mason RH, Foley NM, Branley HM, et al. Pulmonary Langerhans cell histiocytosis (PLCH): a new UK register. Thorax 2014;69(8):766-767. doi:10.1136/thoraxjnl-2013-204313
2. Watanabe R, Tatsumi K, Hashimoto S, Tamakoshi A, Kuriyama T; Respiratory Failure Research Group of Japan. Clinico-epidemiological features of pulmonary histiocytosis X. Intern Med 2001;40(10):998-1003. doi:10.2169/internalmedicine.40.998
Симптомы и признаки ПГЛ
Типичными клиническими проявлениями лангергансоклеточного гистиоцитоза являются одышка, непродуктивный кашель, утомляемость, потеря веса и плевритическая боль. Часто встречается внезапный, спонтанный пневмоторакс.
Примерно у 15% пациентов симптомы отсутствуют, и заболевание выявляется случайно при рентгенографии грудной клетки, выполненной по другой причине.
Боли в костях из-за костных кист (18%), сыпь (13%) и полиурия из-за дефицита аргинин-вазопрессина (5%) являются наиболее частыми проявлениями внелегочного поражения и встречаются до 15% пациентов, редко являясь ведущими симптомами ПГЛ. Проявления ПГЛ скудны; объективное обследование, как правило, без патологии. У пациентов с прогрессирующим заболеванием (ухудшение диффузионной способности легких по монооксиду углерода [DLCO] и признаки усиления обструкции дыхательных путей при исследовании функции легких) может возникнуть легочная гипертензия.
Диагностика ПГЛ
КТ высокого разрешения (КТВР)
Исследование функции легких
В некоторых случаях – бронхоскопия и биопсия
Лангергансоклеточный гистиоцитоз можно заподозрить на основании данных анамнеза и рентгенографии грудной клетки; для подтверждения диагноза выполняют КТВР, бронхоскопию с биопсией и бронхоальвеолярный лаваж.
Рентгенография органов грудной клетки позволяет выявить двусторонние симметричные очаговые инфильтраты в средних и верхних отделах легких с кистозными изменениями при нормальных или увеличенных объемах легких. Нижние отделы легких, как правило, интактны. Рентгенологическая картина может имитировать хроническую обструктивную болезнь легких (ХОБЛ) или лимфангиолейомиоматоз.
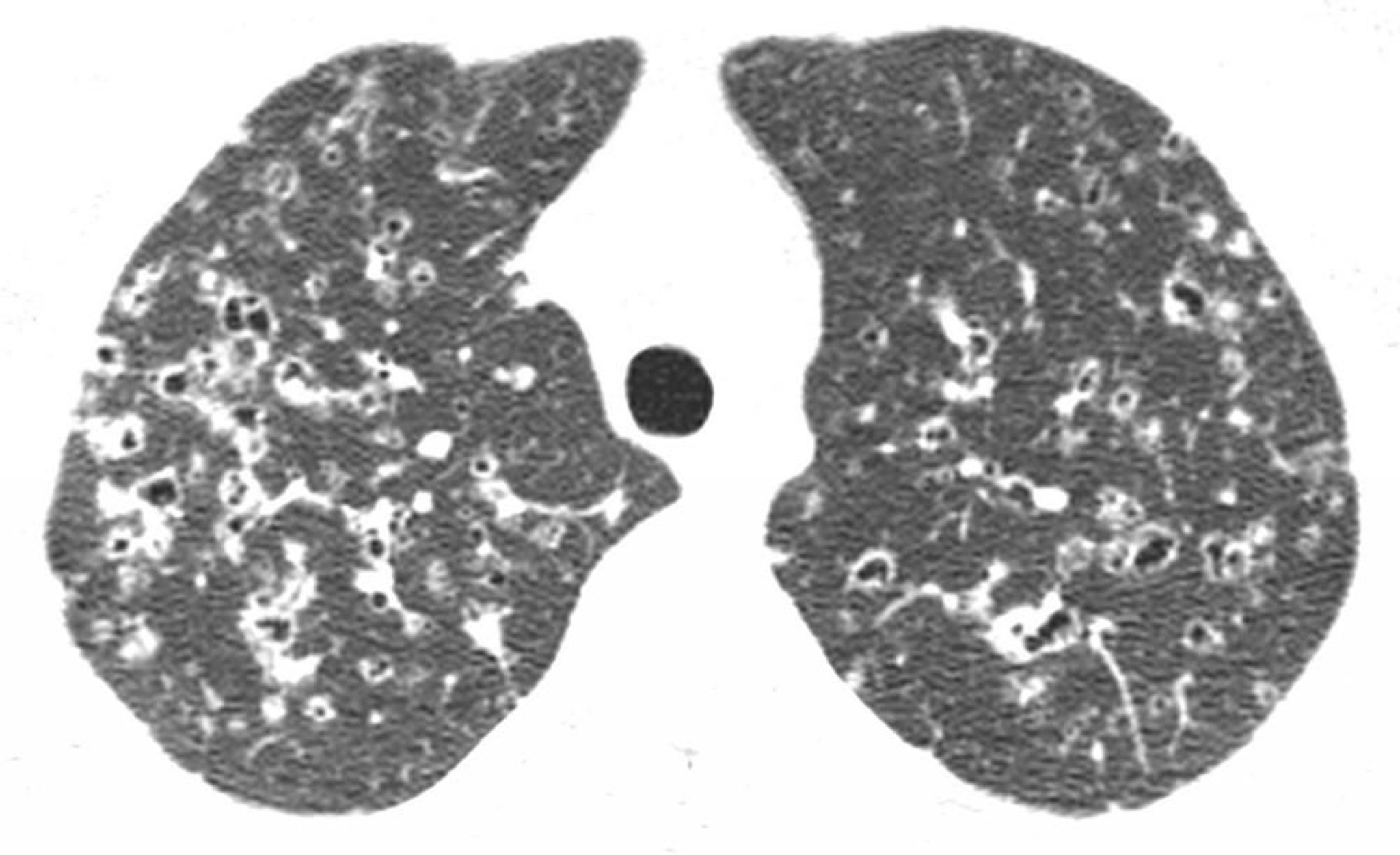
Наличие кист в средней и верхних долях (часто причудливой формы) и/или очаговых образований с утолщением интерстиция по данным КТВР считается патогномоничным для ПГЛ.
Image courtesy of Harold R. Collard, MD.
Результаты исследования функции легких легких могут быть нормальными, могут присутствовать рестриктивные, обструктивные или смешанные нарушения в зависимости от того, в какой период болезни выполнено исследование. Чаще всего наблюдается снижение DLCO и ухудшение оксигенации при физической нагрузке.
Если анамнез, результаты визуализации и других исследований остаются неопределёнными, показано проведение бронхоскопии и биопсии. Обнаружение > 5% CD1a-положительных клеток в жидкости бронхоальвеолярного лаважа с высокой вероятностью указывает на заболевание при проведении иммуногистохимии; окрашивание обычно положительно для CD1a, белка S-100 и CD207 (лангерина). При гистологическом исследовании обнаруживается пролиферация клеток Лангерганса с формированием небольшого количества кластеров эозинофилов (структур, ранее определявшихся как эозинофильная гранулема) в центре клеточно-фиброзных узлов, которые могут иметь звездчатую конфигурацию.
Лечение ПГЛ
Отказ от курения
Возможно, глюкокортикоиды и цитотоксические препараты или трансплантация легких
Главным компонентом лечения лангергансоклеточного гистиоцитоза является отказ от курения, приводящее к разрешению симптомов заболевания примерно у трети пациентов.
Эмпирическое применение глюкокортикоидов и цитотоксических препаратов (например, кладрибина, цитарабина, винбластина) является распространенной практикой у пациентов с тяжелым поражением легких или экстрапульмональными поражениями (1); однако данных крупных клинических исследований недостаточно.
Возможным лечением для здоровых во всех других отношениях пациентов с прогрессирующей дыхательной недостаточностью является трансплантация легких, однако заболевание может рецидивировать в пересаженном легком, если пациент продолжает или снова начал курить.
Справочные материалы по лечению
1. Elia D, Torre O, Cassandro R, Caminati A, Harari S. Pulmonary Langerhans cell histiocytosis: a comprehensive analysis of 40 patients and literature review. Eur J Intern Med 2015;26(5):351-356. doi:10.1016/j.ejim.2015.04.001
Прогноз при ПГЛ
Спонтанное исчезновение симптомов встречается у некоторых пациентов с минимальными проявлениями лангергансоклеточного гистиоцитоза. В целом, 10-летняя выживаемость составляет > 90% (1). К клиническим маркерам прогрессирования заболевания относятся:
Продолжение курения
Очень юный и очень пожилой возрасты
Полиорганное поражение
Постоянные конституциональные симптомы
При рентгенографии органов грудной клетки выявляются многочисленные кисты
Сниженная DLCO
Отношение низкого объема форсированного выдоха за 1 секунду (FEV1) к уровню форсированной жизненной емкости легких (ФЖЕЛ) (< 66%)
Соотношение высокого остаточного объема (RV) к общей емкости легких (TLC) (> 33%)
Необходимость длительного применения кортикостероидов
Причина смерти – дыхательная недостаточность или рак. Риск развития рака легких увеличивается при курении.
Справочные материалы по прогнозу
1. Benattia A, Bugnet E, Walter-Petrich A, et al. Long-term outcomes of adult pulmonary Langerhans cell histiocytosis: a prospective cohort. Eur Respir J 2022;59(5):2101017. Published 2022 May 26. doi:10.1183/13993003.01017-2021
Основные положения
ПРи пульмональном гистиоцитозе Лангерганса (ПГЛ) моноклональные клетки Лангерганса размножаются в альвеолярном интерстиции и бронхиолах.
ПГЛ предполагают у пациентов в возрасте от 20 до 40 лет, которые курят и у которых рентген грудной клетки показывает двухсторонне симметричные узелковые затемнения в средних и верхних легочных полях с кистозными изменениями.
Подтвердить диагноз при помощи КТ высокого разрешения или, если результаты не являются окончательными, биопсии легкого.
Рекомендуется отказ от курения.
Рассмотрите назначение глюкокортикоидов и цитотоксических препаратов, а при персистировании заболевания после прекращения курения — трансплантацию лёгких.
