Verrugas orais
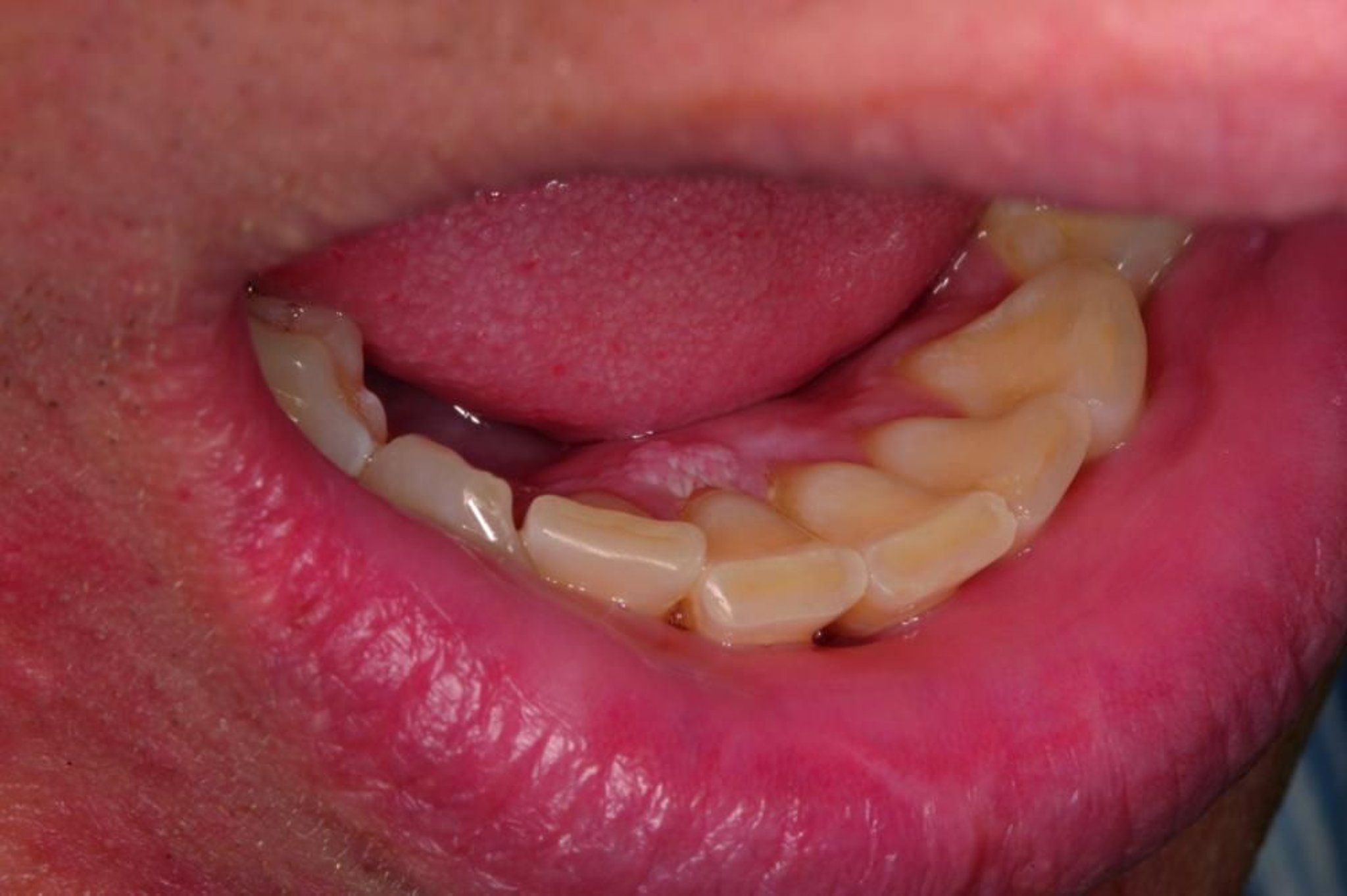
Verruga vulgar da gengiva lingual anterior. A lesão é mais branca do que o tecido circundante com projeções proeminentes quase como pelo.
© Springer Science+Business Media
Nesses tópicos
Verruga vulgar da gengiva lingual anterior. A lesão é mais branca do que o tecido circundante com projeções proeminentes quase como pelo.
© Springer Science+Business Media