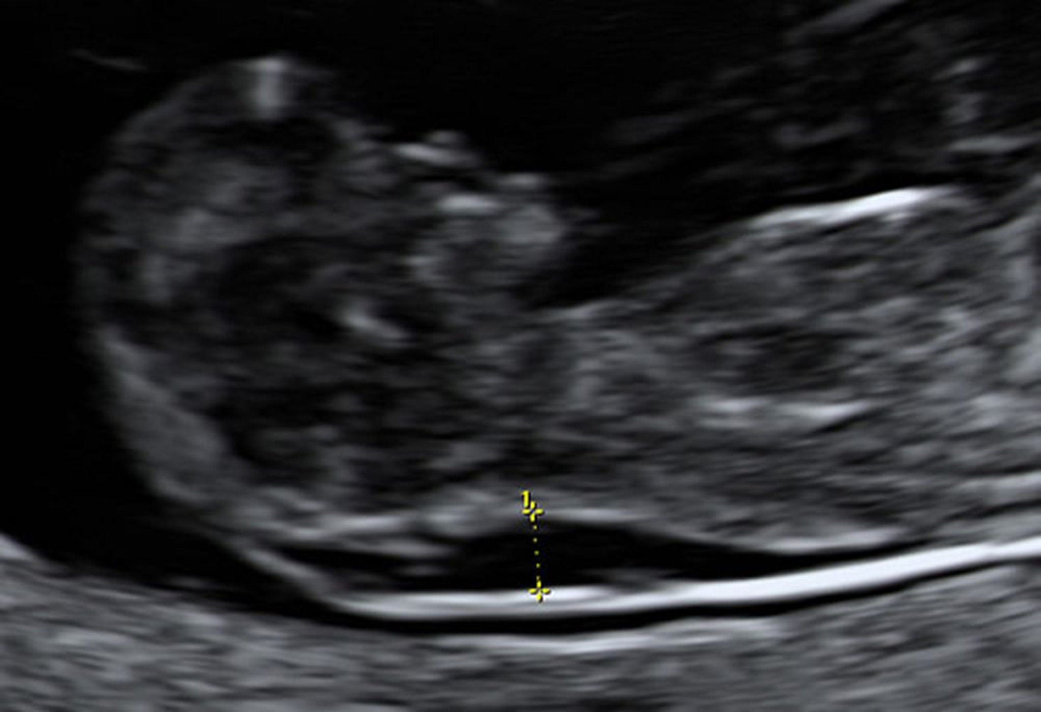
Ultrassonografia mostrando aumento da translucência nucal em um feto com 10 semanas
A biópsia da vilosidade coriônica indicou que esse feto tinha síndrome de Down.
Foto de Jeffrey S. Dungan, MD.
Nesses tópicos
A biópsia da vilosidade coriônica indicou que esse feto tinha síndrome de Down.
Foto de Jeffrey S. Dungan, MD.