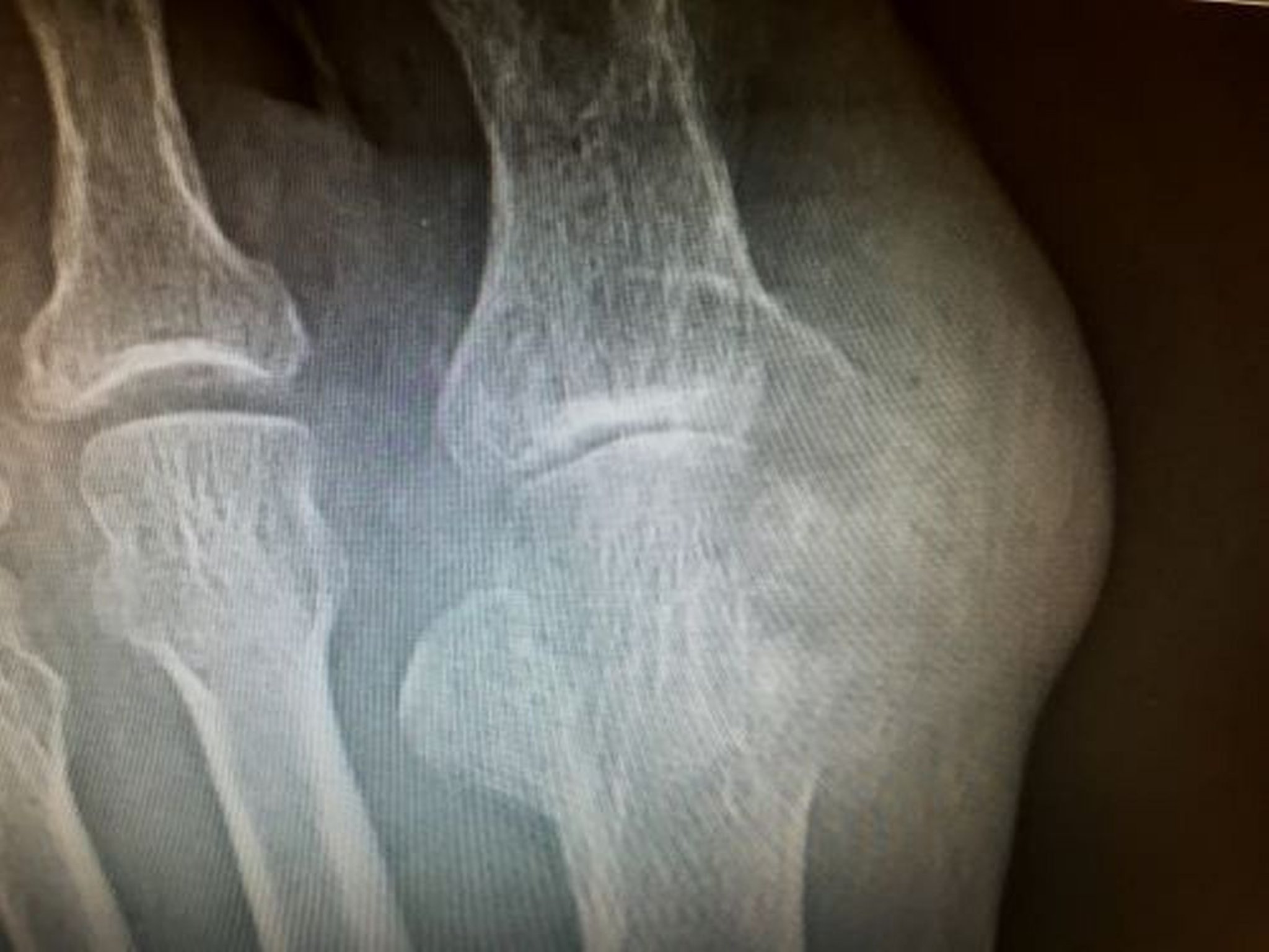
Tofos com erosão
Esta foto mostra grandes erosões causadas pelos tofos envolvendo o osso metatarsal distal e na falange proximal do hálux.
Imagem cedida por cortesia de N. Lawrence Edwards, MD.
Nesses tópicos
Esta foto mostra grandes erosões causadas pelos tofos envolvendo o osso metatarsal distal e na falange proximal do hálux.
Imagem cedida por cortesia de N. Lawrence Edwards, MD.