honeypot link
skip to main content
Profissionais
Doentes
Manual MSD
Versão para Profissionais de Saúde
ASSUNTOS MÉDICOS
RECURSOS
COMENTÁRIO
PROCEDIMENTOS
TESTES
SOBRE
ASSUNTOS MÉDICOS
RECURSOS
<
Imagens
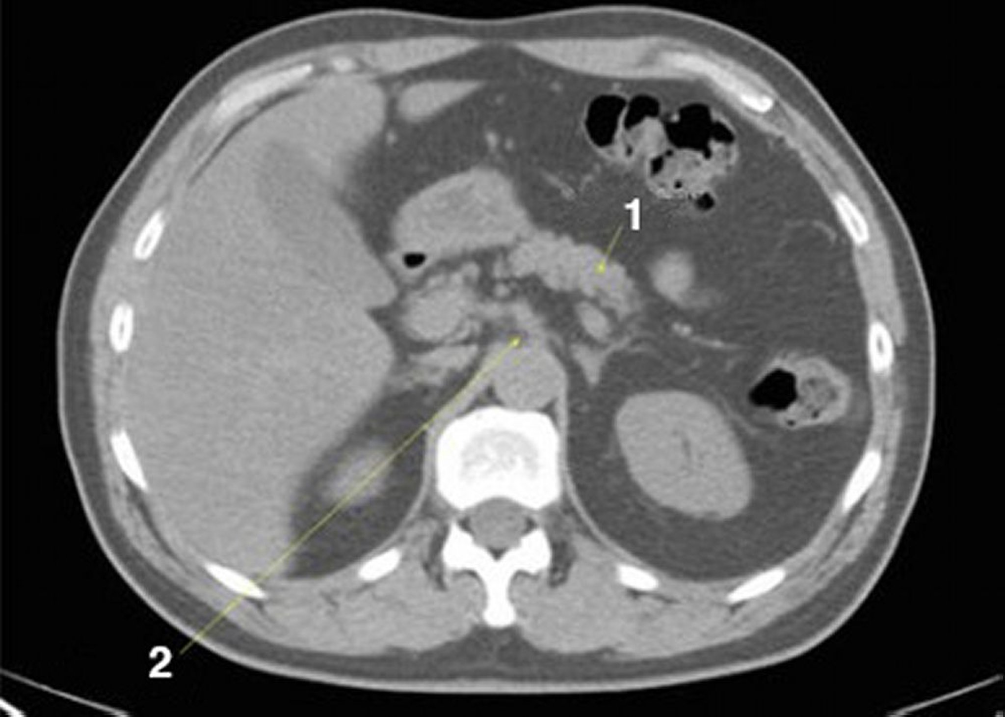
TC sem contraste do abdome e da pelve mostrando anatomia normal (lâmina 9)
1 = pâncreas; 2 = eixo celíaco.
© Springer Science+Business Media
Nesses tópicos
Avaliação do paciente gastrointestinal
>