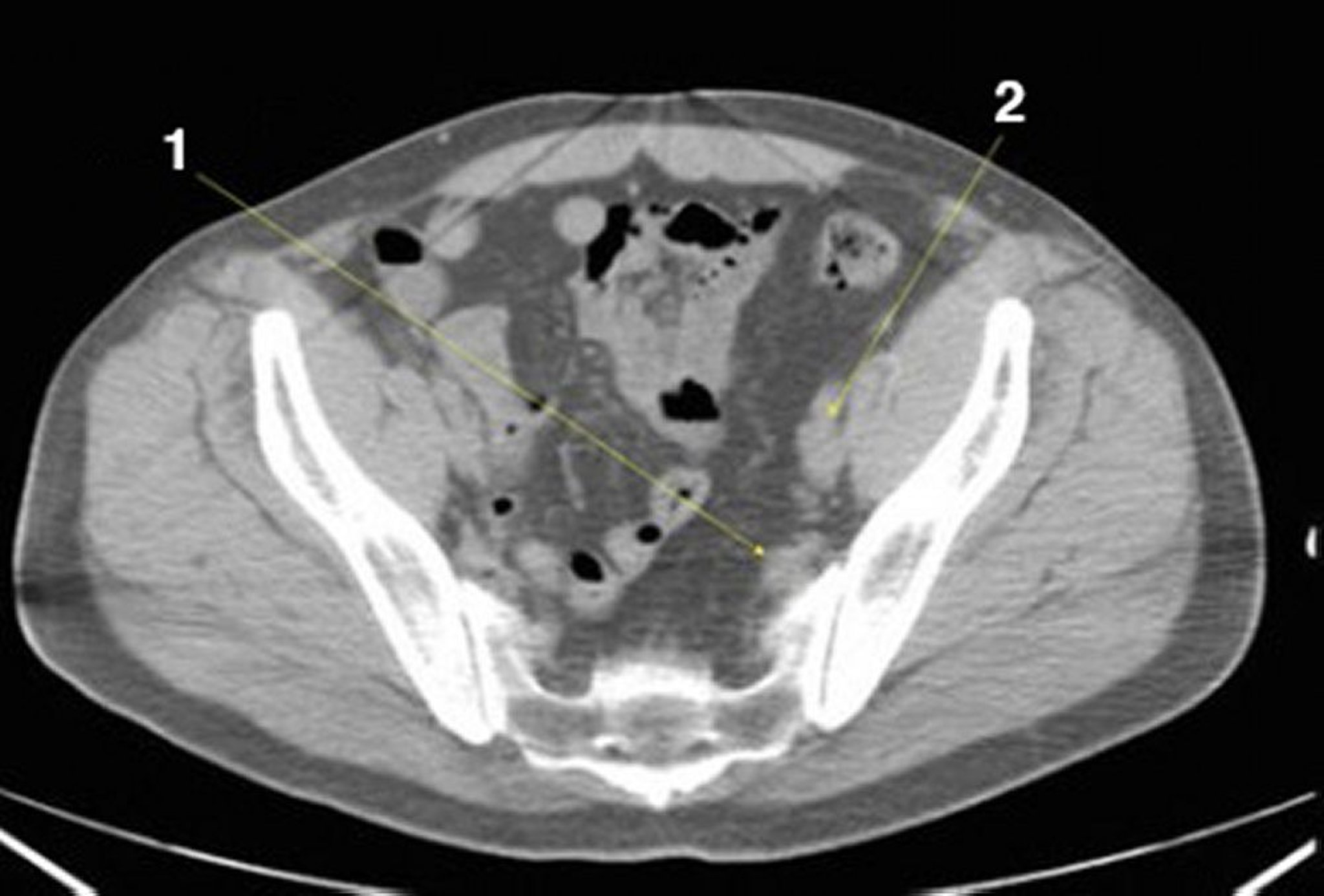
TC sem contraste do abdome e da pelve mostrando anatomia normal (lâmina 24)
1 = vasos ilíacos internos; 2 = vasos ilíacos externos.
© Springer Science+Business Media
Nesses tópicos
1 = vasos ilíacos internos; 2 = vasos ilíacos externos.
© Springer Science+Business Media