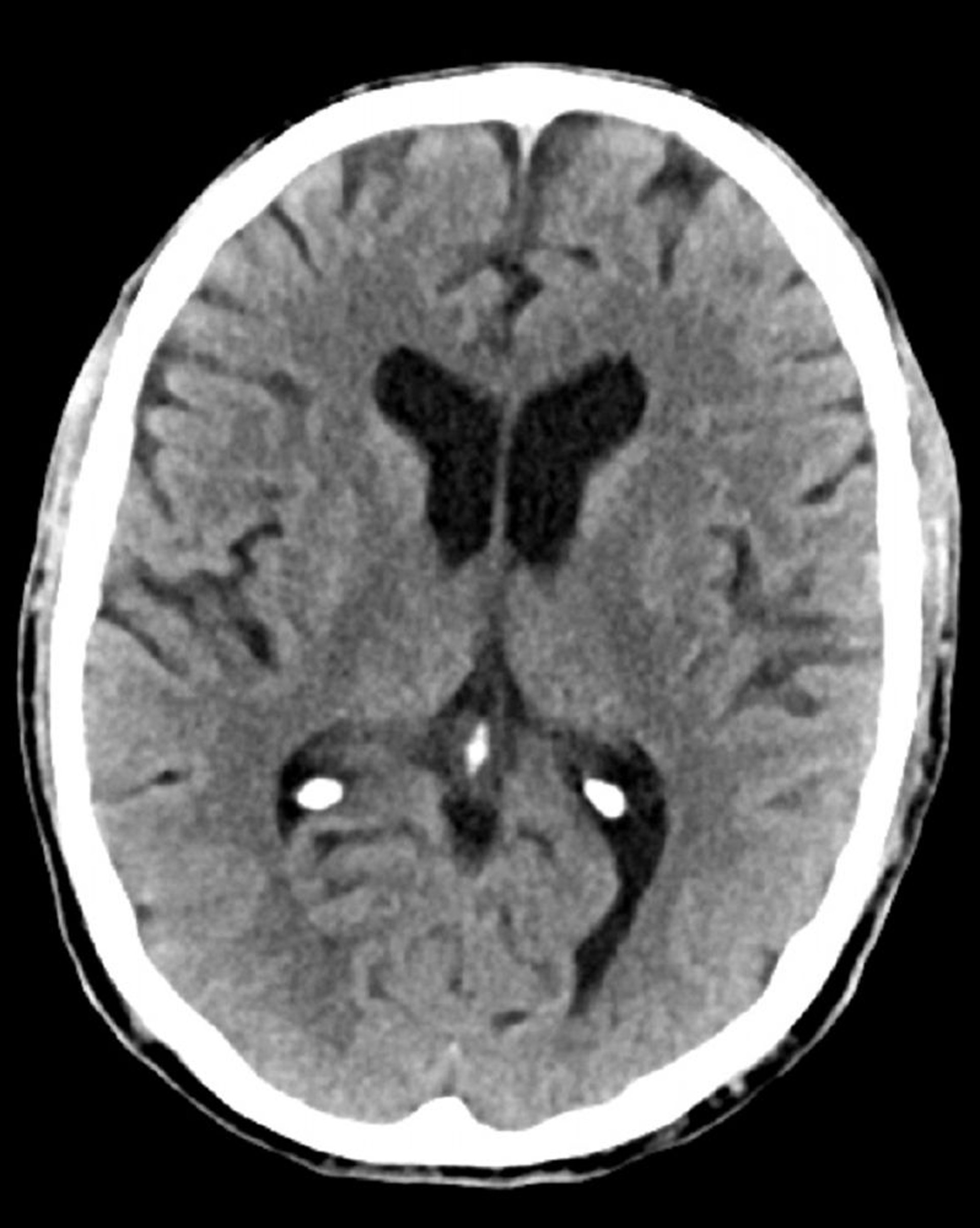
TC de crânio normal (adulto, idade 74) – – Diapositivo 5
Essa é uma TC normal da cabeça de um adulto com 74 anos. Quando comparada com a tomografia computadorizada normal da cabeça da pessoa de 30 anos de idade, os ventrículos e sulcos são maiores. Esses achados são normais nessa faixa etária.
© 2017 Elliot K. Fishman, MD.
