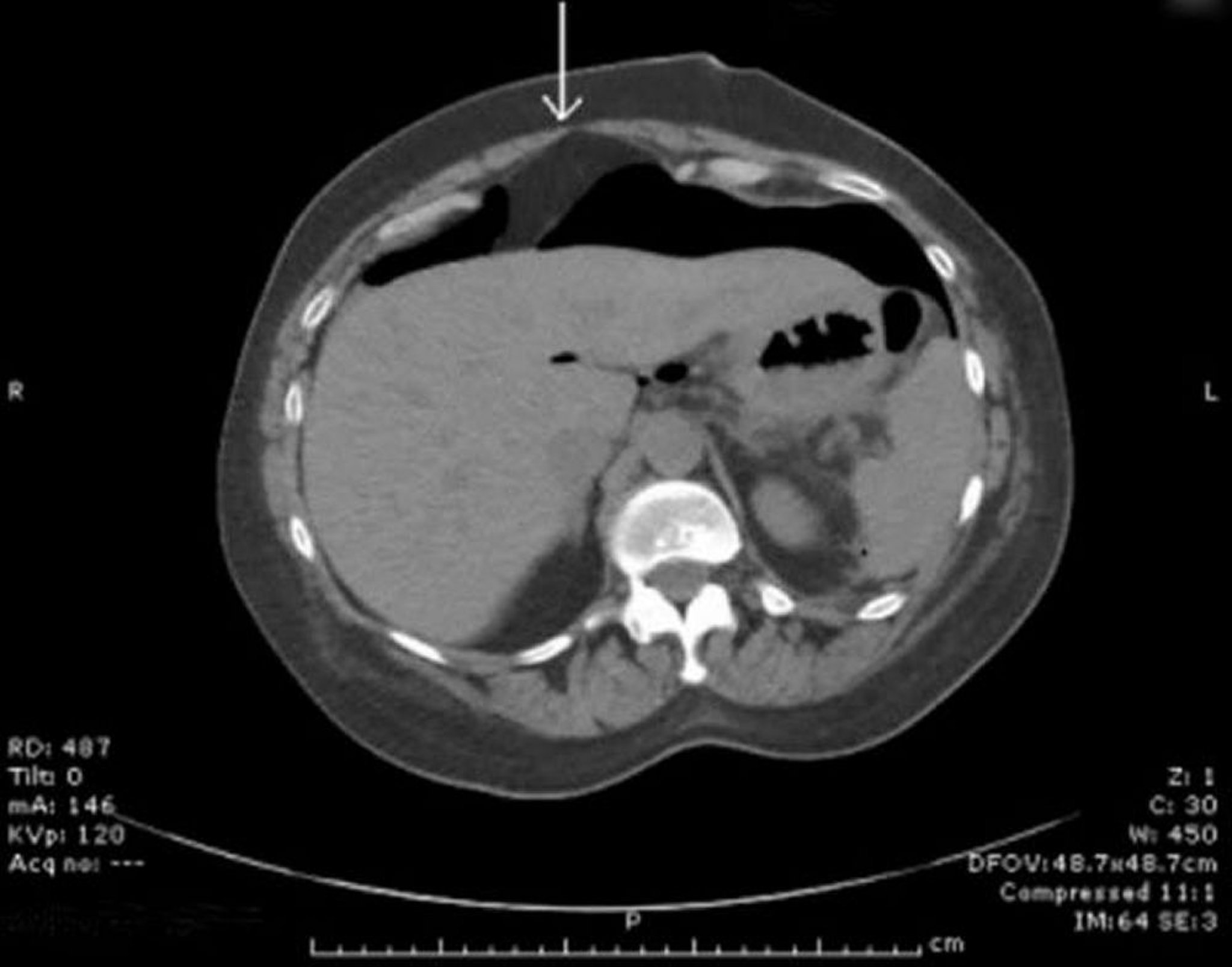
TC com ar livre na cavidade peritoneal
Ar livre é visto anteriormente ao fígado. A seta indica o ligamento falciforme.
Image provided by Parswa Ansari, MD.
Ar livre é visto anteriormente ao fígado. A seta indica o ligamento falciforme.
Image provided by Parswa Ansari, MD.