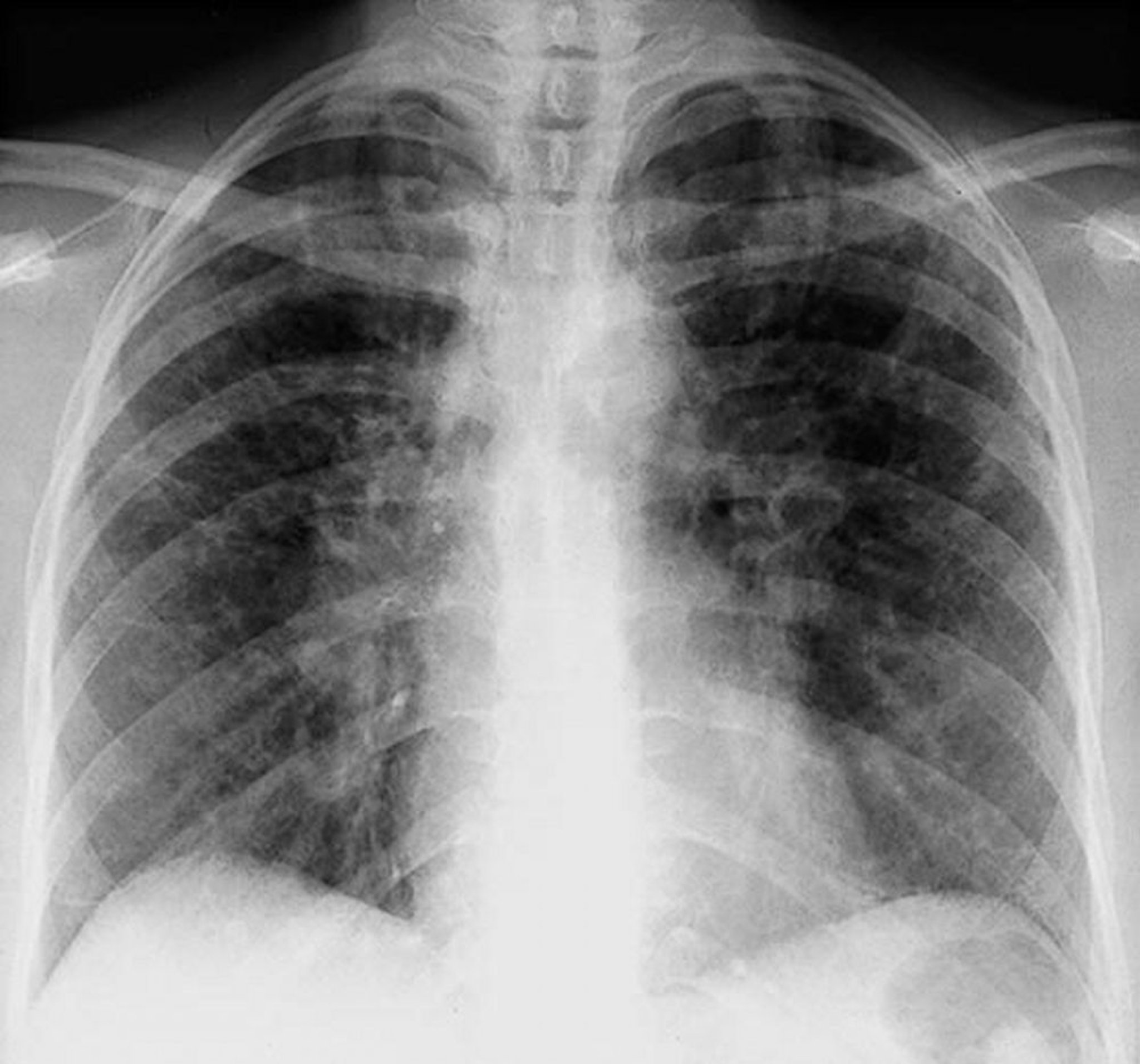
Sarcoidose (estágio II)
Adenopatia hilar bilateral com opacidades intersticiais na sarcoidose em estágio II.
By permission of the publisher. De Tanoue L, Elias J. In Bone's Atlas of Pulmonary and Critical Care Medicine. Edited by J Crapo. Philadelphia, Current Medicine, 2005.
Nesses tópicos
