Retinopatia diabética (não proliferativa)
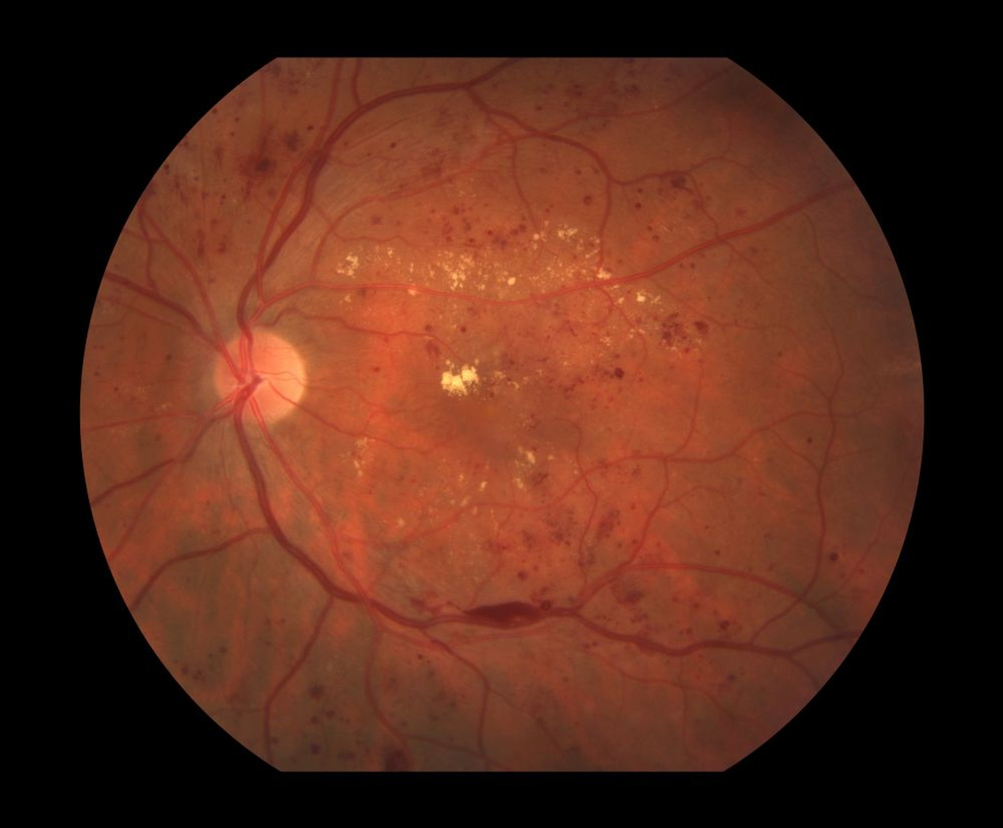
Características fundoscópicas da retinopatia diabética não proliferativa incluem hemorragias da retina e exsudatos duros (manchas amarelas).
Paul Whitten/SCIENCE PHOTO LIBRARY
Nesses tópicos
Características fundoscópicas da retinopatia diabética não proliferativa incluem hemorragias da retina e exsudatos duros (manchas amarelas).
Paul Whitten/SCIENCE PHOTO LIBRARY