Radiografia do tórax de um paciente com pericardite constritiva
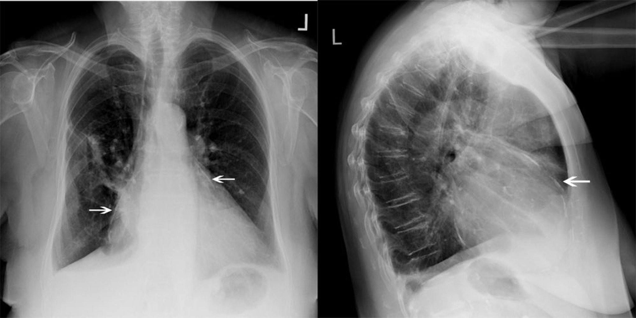
Esse paciente com pericardite constritiva apresenta calcificação pericárdica significativa (setas brancas).
© 2017 Elliot K. Fishman, MD.
Nesses tópicos
Esse paciente com pericardite constritiva apresenta calcificação pericárdica significativa (setas brancas).
© 2017 Elliot K. Fishman, MD.