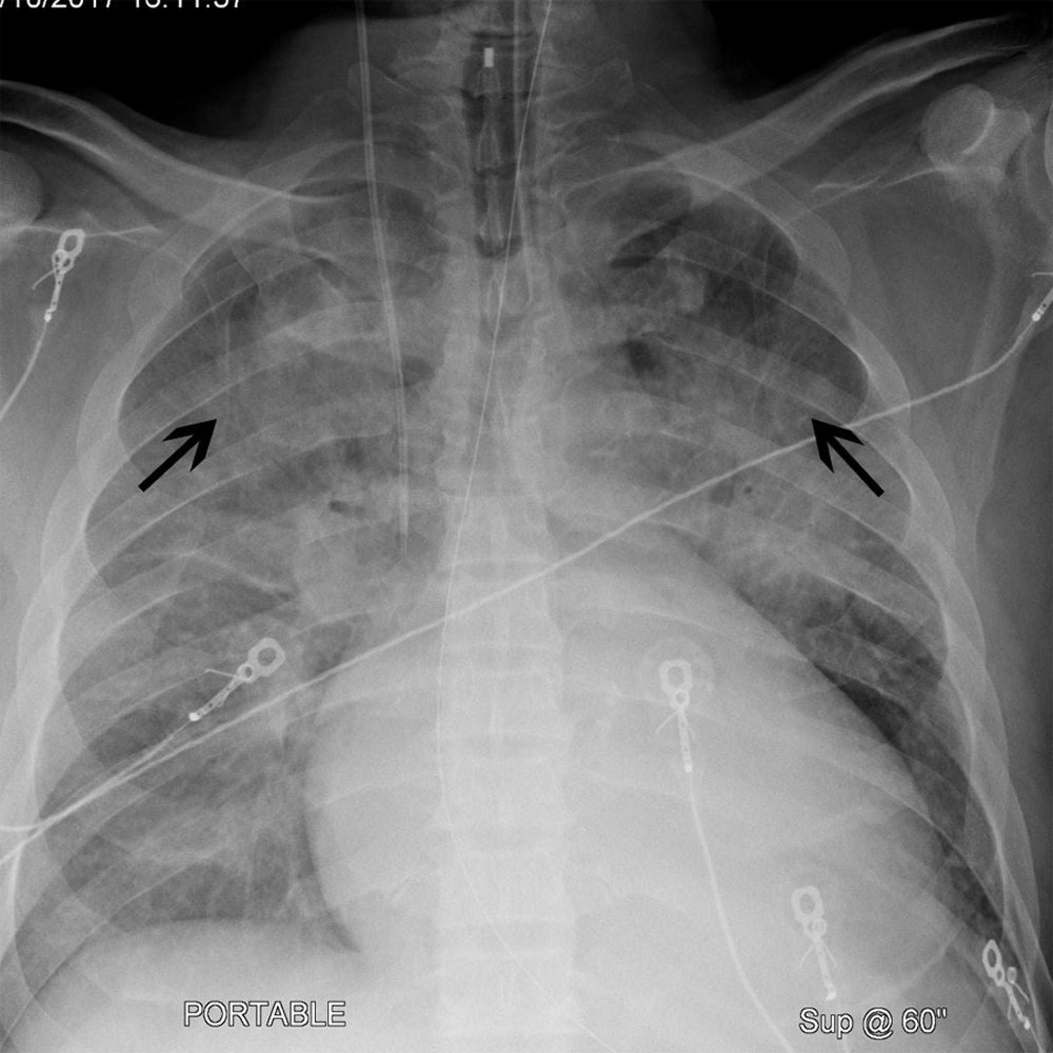
Radiografia do tórax de um paciente com cardiomegalia e cefalização
Esse paciente tem cardiomegalia (a largura da silhueta cardíaca é > 50% da caixa torácica em uma radiografia de tórax posterior-anterior). O paciente também apresenta cefalização (setas pretas) em que os vasos pulmonares do lobo superior se tornam mais proeminentes. Esses achados costumam ser vistos em pacientes com insuficiência cardíaca.
© 2017 Elliot K. Fishman, MD.
Nesses tópicos
