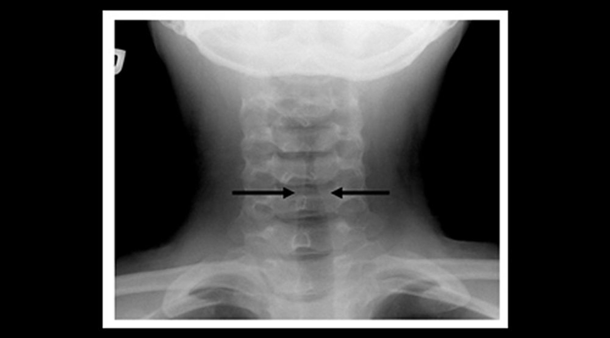
Radiografia de uma criança com crupe (plano coronal)
Radiografia de tecidos moles do pescoço de uma criança com crupe mostra estreitamento gradual da sombra de ar subglótico na traqueia (sinal de torre de igreja; setas) e dilatação dos espaços aéreos da faringe.
Imagem cedida por cortesia de John McBride, MD.
Nesses tópicos
