Radiografia de tórax de um paciente após cirurgia de revascularização miocárdica
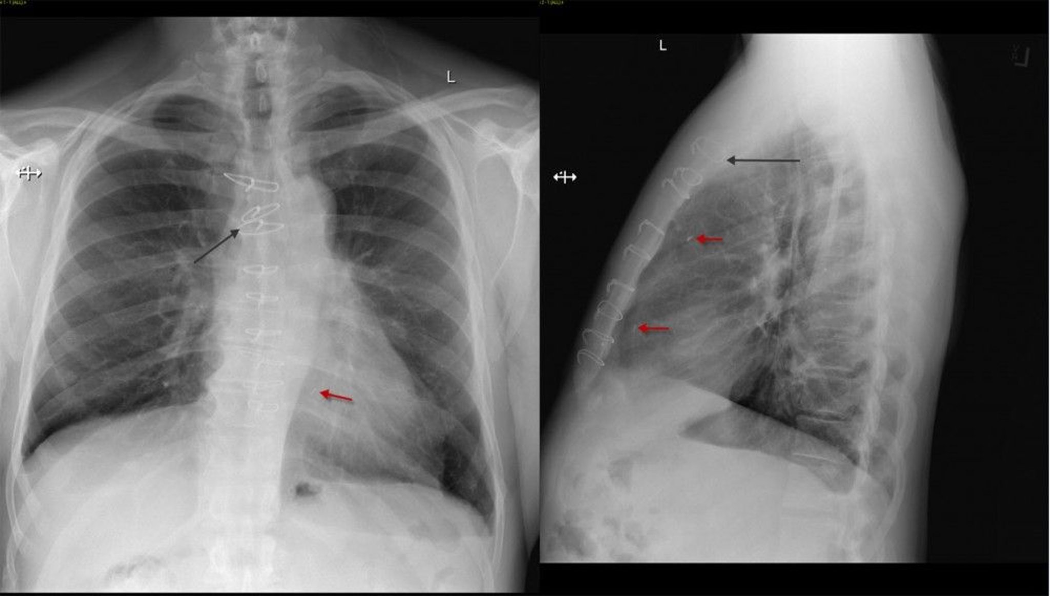
Radiografia de tórax frontal e lateral de um paciente após cirurgia de revascularização do miocárdio mostrando suturas esternais (seta preta) e clipes cirúrgicos (seta vermelha).
© 2017 Elliot K. Fishman, MD.
Nesses tópicos
