Pneumonite crônica de hipersensibilidade
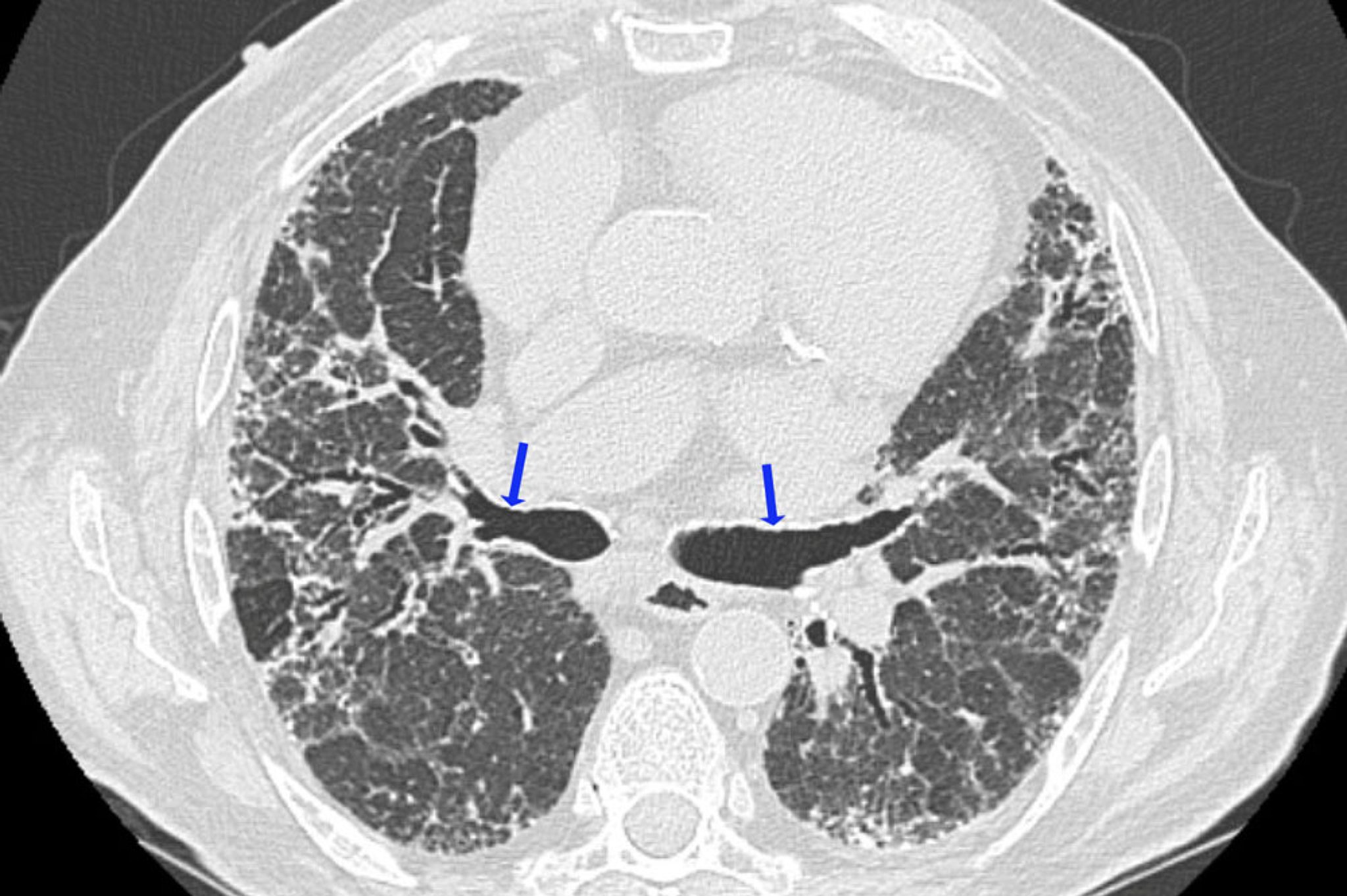
Esta TC de alta resolução mostra achados de fibrose, com reticulação irregular e bronquiectasia por tração (setas). Áreas de menor densidade pulmonar são compatíveis com as regiões de obstrução das vias respiratórias. Essa combinação de achados é sugestiva de pneumonite de hipersensibilidade.
Imagem cedida por cortesia de Joyce Lee, MD, MAS.
Nesses tópicos
