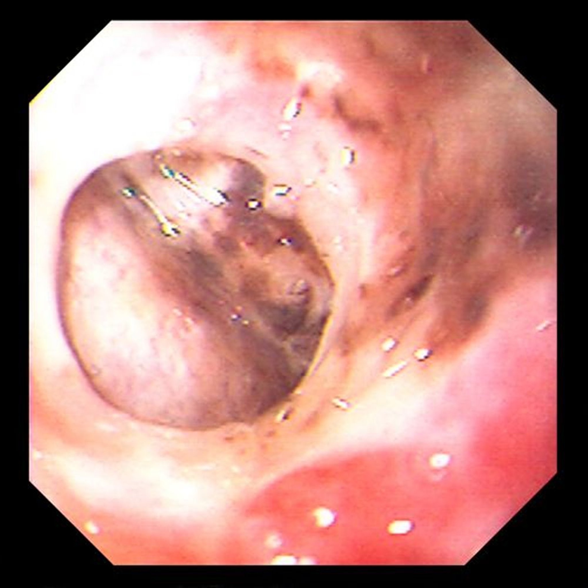
Perfuração por úlcera gástrica
Essa imagem mostra uma úlcera gástrica perfurada crônica e confinada, através da qual o fígado pode ser visto.
Image provided by David M. Martin, MD.
Nesses tópicos
Essa imagem mostra uma úlcera gástrica perfurada crônica e confinada, através da qual o fígado pode ser visto.
Image provided by David M. Martin, MD.