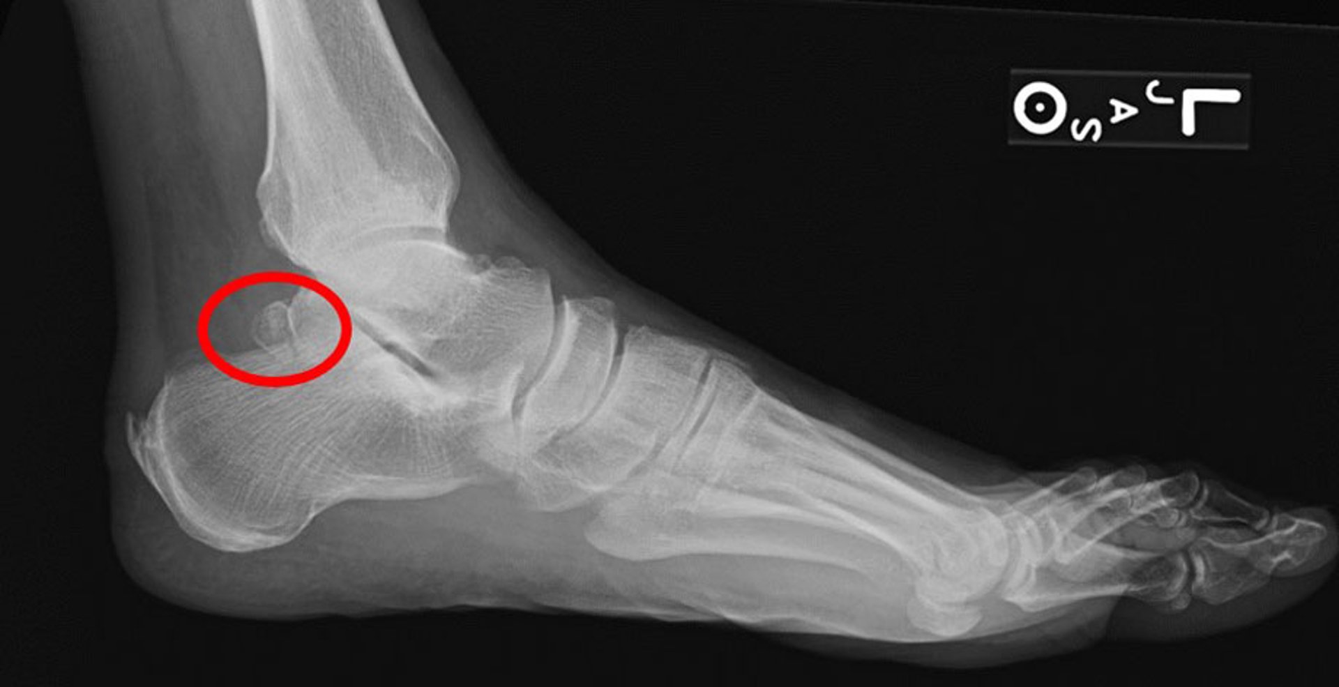
Osso trígono
Esta radiografia lateral mostra um osso trígono (círculo).
Imagem cedida por cortesia de James C. Connors, DPM.
Nesses tópicos
Esta radiografia lateral mostra um osso trígono (círculo).
Imagem cedida por cortesia de James C. Connors, DPM.