Obstrução do intestino delgado (radiografia vertical)
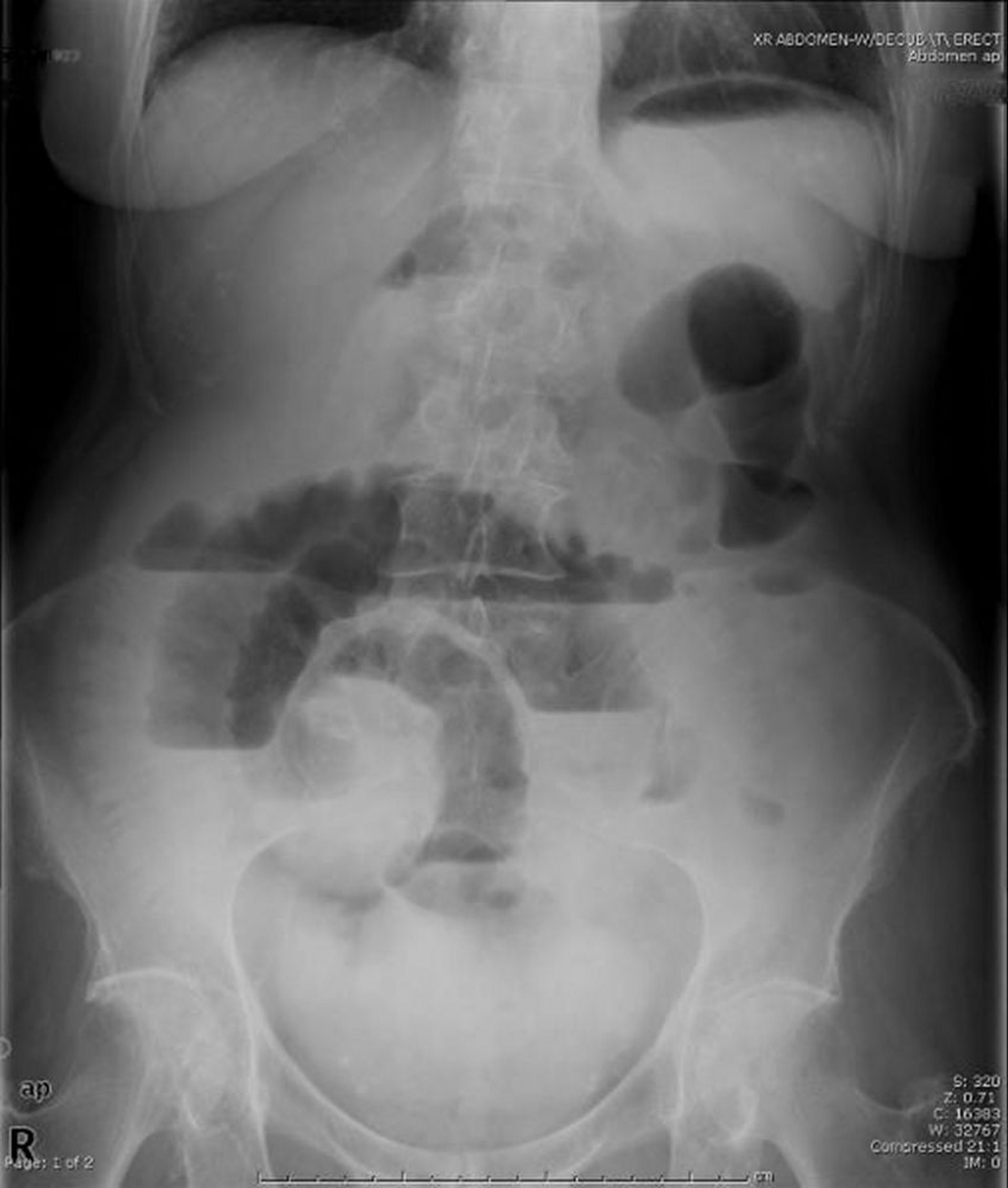
Essa radiografia abdominal na posição vertical mostra obstrução do intestino delgado. Observe os múltiplos níveis hidroaéreos.
Image provided by Parswa Ansari, MD.
Nesses tópicos
Essa radiografia abdominal na posição vertical mostra obstrução do intestino delgado. Observe os múltiplos níveis hidroaéreos.
Image provided by Parswa Ansari, MD.