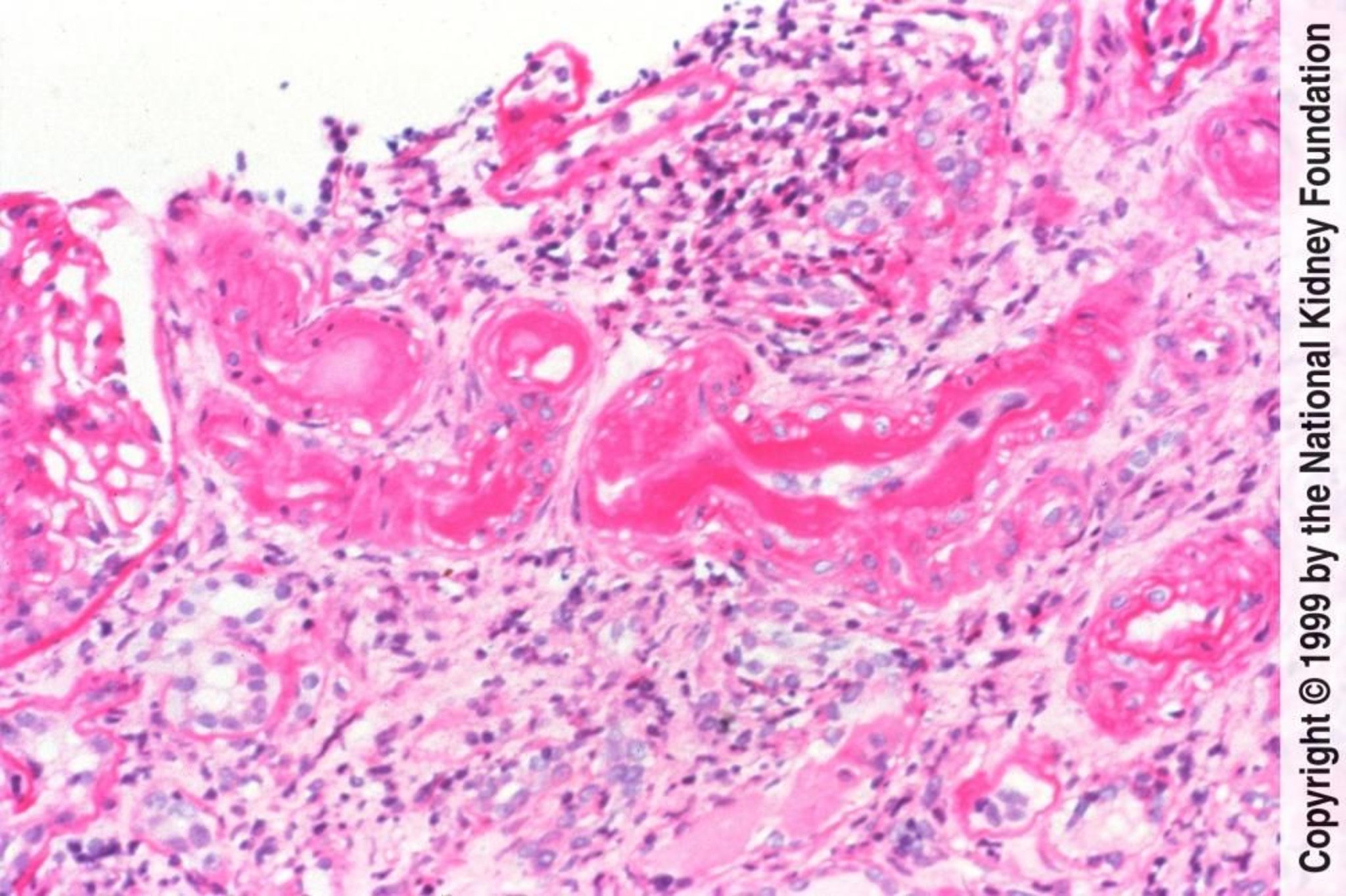
Nefrosclerose arteriolar hipertensiva benigna
A nefroesclerose arteriolar hipertensiva benigna é caracterizada histologicamente por hialinose arteriolar causada por insudação das proteínas plasmáticas e espessamento medial provocado por hipertrofia e hiperplasia das células musculares lisas vasculares (coloração ácido periódico-Schiff, × 200).
Image provided by Agnes Fogo, MD, and the American Journal of Kidney Diseases' Atlas of Renal Pathology (see www.ajkd.org).
Nesses tópicos
