honeypot link
skip to main content
MSDManual MSDVersão para Profissionais de Saúde
ASSUNTOS MÉDICOSRECURSOSCOMENTÁRIOPROCEDIMENTOSTESTESSOBRE
homeASSUNTOS MÉDICOSRECURSOS
Search icon
  1. <Imagens
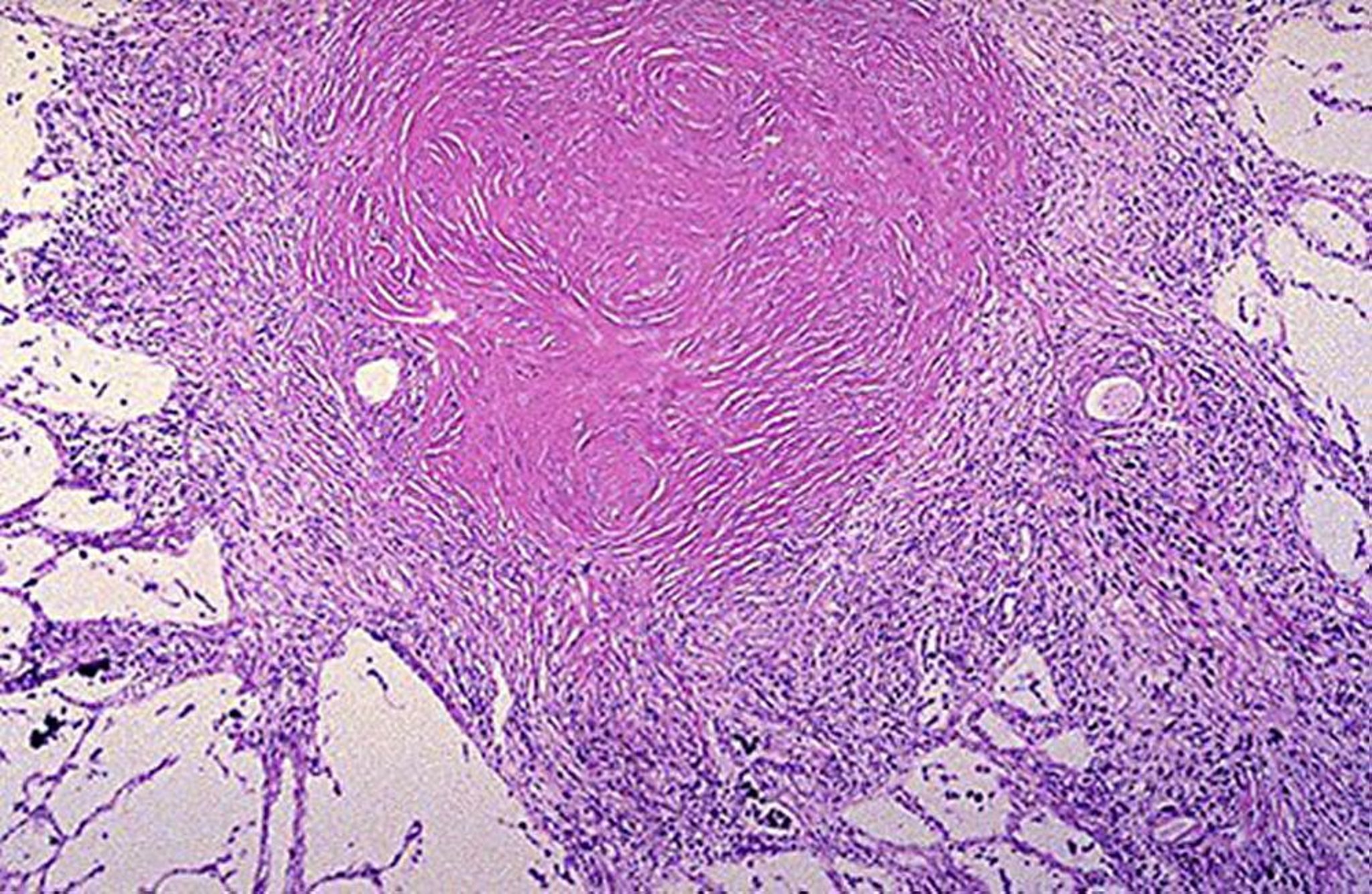
    Nódulo silicótico

    Nódulo silicótico

    Imagem cedida por cortesia de David W. Cugell, MD.

    Nesses tópicos
    • Silicose >
    MSD
    • Sobre
    • Isenção de Responsabilidade
    • Autorizações
    • Privacidade
    • Cookie Preferences
    • Termos de utilização
    • Licenciamento
    • Fale conosco
    • Manual de veterinária (apenas inglês)
    This icon serves as a link to download the eSSENTIAL Accessibility assistive technology app for individuals with physical disabilities. It is featured as part of our commitment to diversity and inclusion.
    This icon serves as a link to download the eSSENTIAL Accessibility assistive technology app for individuals with physical disabilities. It is featured as part of our commitment to diversity and inclusion.
    MSD

    Direitos autorais© 2026Merck & Co., Inc., Rahway, NJ, EUA e suas afiliadas. Todos os direitos reservados.