Microadenoma hipofisário
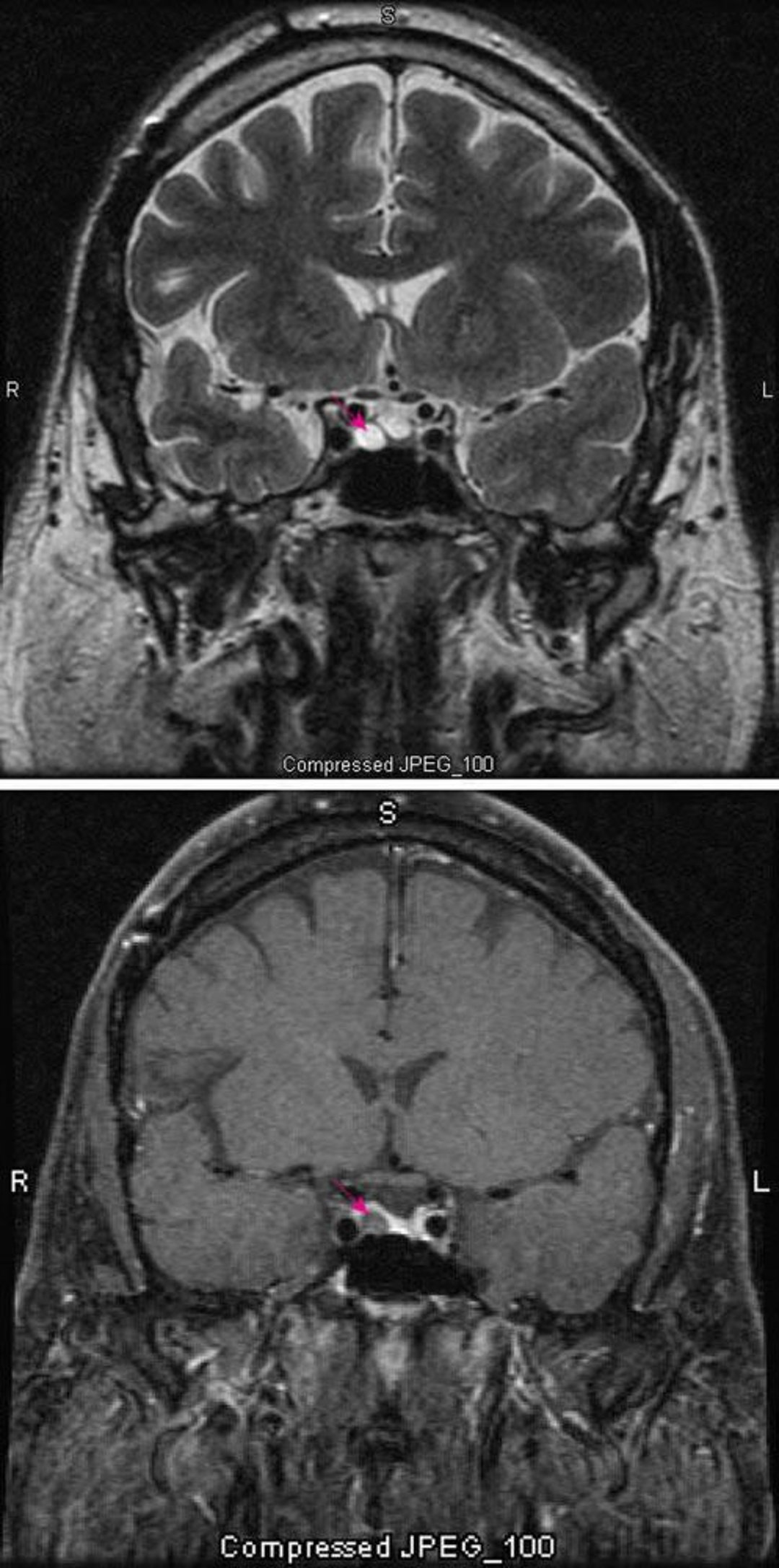
RM ponderada em T2 (parte superior) mostra microadenoma hipofisário (seta vermelha). A hipófise normalmente capta o contraste (seta vermelha). O adenoma parece mais claro.
Imagens cortesia de William R. Shapiro, MD.
Nesses tópicos
