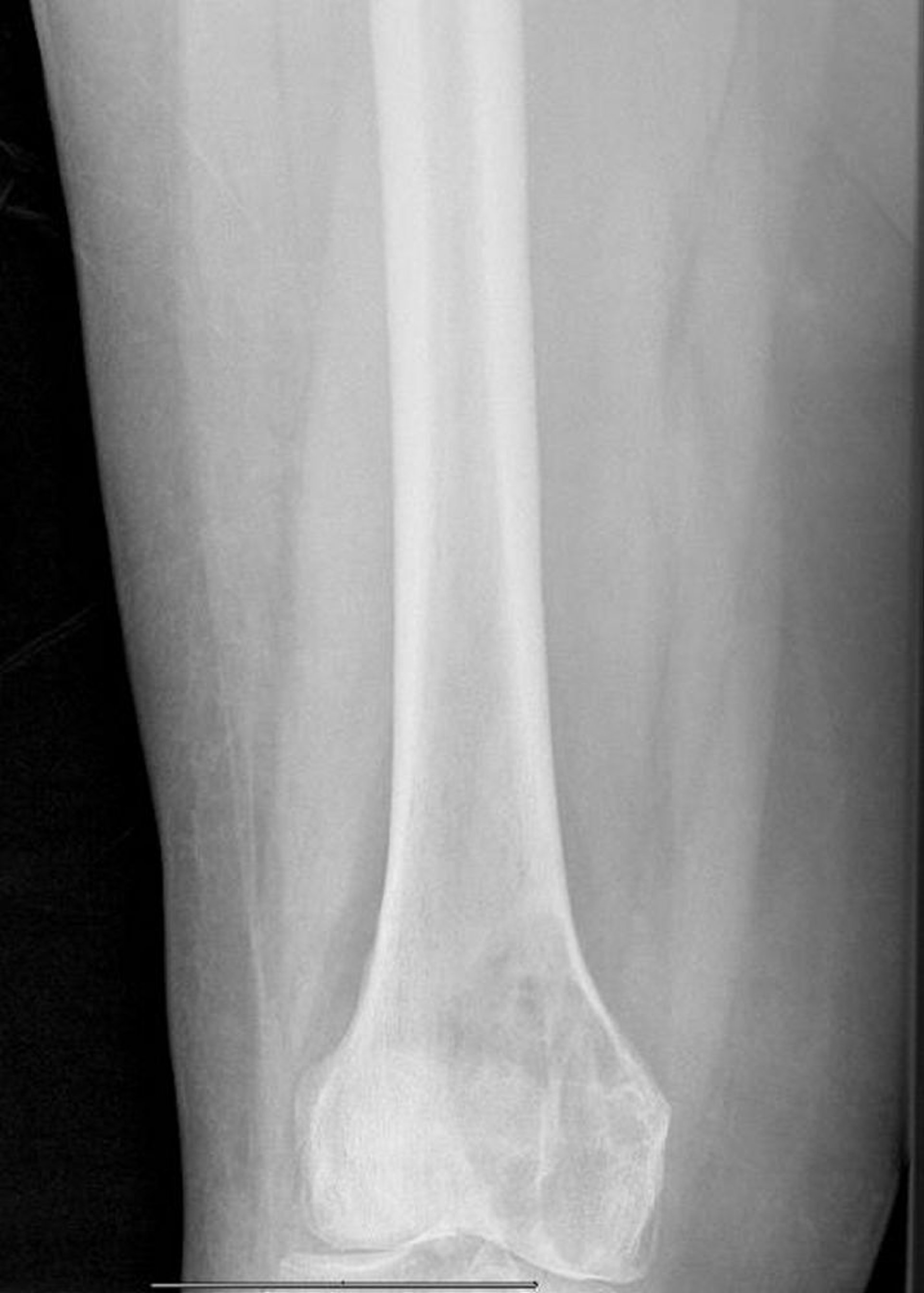
Metástase lítica no fêmur distal
Essa radiografia mostra uma grande lesão lítica metastática do côndilo medial femoral com fratura patológica iminente.
Imagem cedida por cortesia de Michael J. Joyce, MD, and David M. Joyce, MD.
Nesses tópicos
Essa radiografia mostra uma grande lesão lítica metastática do côndilo medial femoral com fratura patológica iminente.
Imagem cedida por cortesia de Michael J. Joyce, MD, and David M. Joyce, MD.