Meningioma, parassagital
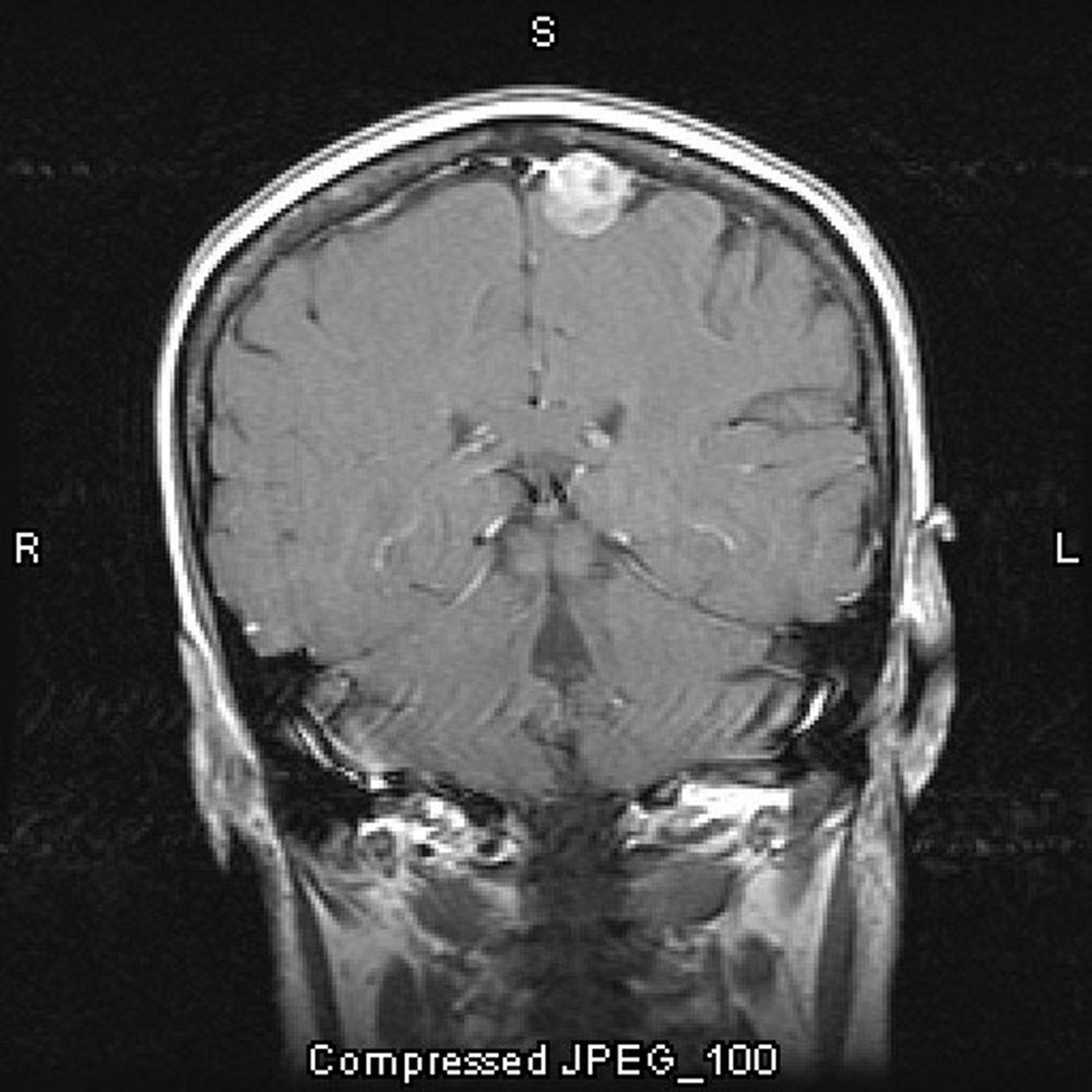
Essa RM com contraste mostra um meningioma. A localização parassagital é típica dos meningiomas.
Imagem cedida por cortesia de William R. Shapiro, MD.
Nesses tópicos
Essa RM com contraste mostra um meningioma. A localização parassagital é típica dos meningiomas.
Imagem cedida por cortesia de William R. Shapiro, MD.